missing translation for 'onlineSavingsMsg'
Learn More
Learn More
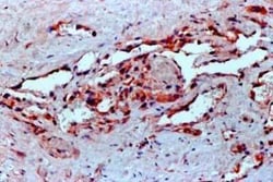
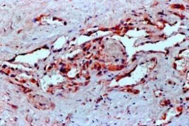
Invitrogen™ VEGF Monoclonal Antibody (VG1)

Mouse Monoclonal Antibody
Brand: Invitrogen™ MA116629
Les retours ne sont pas autorisés pour ce produit.
Afficher la politique du retour.
Description
For IHC, incubate for a period of 30-60 minutes at room temperature. High temperature treatment of formalin-fixed tissue sections using 1mM EDTA, pH 8.0 must be performed prior to the immunostaining.
VEGF (vascular endothelial growth factor) which is a 45 kDa homodimeric, disulfide-linked glycoprotein involved in angiogenesis which promotes tumor progression and metastasis. VEGF has a variety of effects on vascular endothelium, including the ability to promote endothelial cell viability, mitogenesis, chemotaxis, and vascular permeability. The VEGF family currently includes VEGF-A, VEGF-B, VEGF-C, VEGF-D, VEGF-E, and PIGF. VEGF and its receptor system have been shown to be the fundamental regulators in the cell signaling of angiogenesis. Most tumors have the absolute requirement of angiogenesis, and VEGF has been described as the most potent angiogenic cytokine linked to this process. To date 5 different isoforms of VEGF have been described. These isoforms are generated as the result of alternative splicing from a single VEGF gene. These various isoforms have been shown to bind to two tyrosine-kinase receptors flt-1 (VEGFR-1) and flk-1/KDR (VEGFR-2), which have been found to be expressed almost exclusively on endothelial cells. VEGF and its high-affinity binding receptors, the tyrosine kinases FLK1 and FLT1, are thought to be important for the development of embryonic vasculature. Studies have shown that an alternately spliced form of FLT1 produces a soluble protein, termed sFLT1, which binds vascular endothelial growth factor with high affinity, playing an inhibitory role in angiogenesis. Elevated levels of VEGF is linked to POEMS syndrome (Polyneuropathy, Organomegaly, Endocrinopathy, Monoclonal gammopathy, Skin changes) also known as Crow-Fukase syndrome which affects multiple organs in the body.
Spécification
| VEGF | |
| Monoclonal | |
| 1 mg/mL | |
| PBS with 0.02% sodium azide | |
| P15692, P16612, P49151, Q00731, Q9MYV3 | |
| VEGFA | |
| Recombinant VEGF 189 protein. | |
| 100 μg | |
| Primary | |
| Canine, Human, Mouse, Pig, Rat | |
| Antibody | |
| IgG1 κ |
| ELISA, Flow Cytometry, Immunohistochemistry (Frozen), Immunohistochemistry (Paraffin), Western Blot, Immunocytochemistry | |
| VG1 | |
| Unconjugated | |
| VEGFA | |
| angiogenic factor; etID309976.16; eVEGF120; eVEGF164; human VEGF121 homolog; MGC70609; MVCD1; ovine vascular endothelial growth factor; RP1-261G23.1; unnamed protein product; VAS; vascular endothelial growth factor; vascular endothelial growth factor (VEGF) precursor; vascular endothelial growth factor 121 isoform; vascular endothelial growth factor 164; vascular endothelial growth factor 165b; vascular endothelial growth factor 182; vascular endothelial growth factor 182 isoform; vascular endothelial growth factor 188; vascular endothelial growth factor 188 isoform; vascular endothelial growth factor 189; vascular endothelial growth factor A; vascular endothelial growth factor A121; vascular endothelial growth factor A165; vascular endothelial growth factor Aa; Vascular endothelial growth factor A-A; vascular endothelial growth factor isoform 165; vascular permeability factor; Vasculotropin; VEGF; VEGF1; VEGF164; VEGF182; VEGF188; vegfa; VEGF-A; VEGFA165b; vegfaa; VEGF-A-A; VEGFMGC70609; VPF; VPF ant; wu:fj82c06 | |
| Mouse | |
| Protein G | |
| RUO | |
| 22339, 397157, 403802, 7422, 83785 | |
| Store at 4°C short term. For long term storage, store at -20°C, avoiding freeze/thaw cycles. | |
| Liquid |
Correction du contenu d'un produit
Veuillez fournir vos retours sur le contenu du produit en remplissant le formulaire ci-dessous.
Nom du produit
Vous avez repéré une opportunité d'amélioration ?Partager une correction de contenu