missing translation for 'onlineSavingsMsg'
Learn More
Learn More
Invitrogen™ VAPB Polyclonal Antibody

Rabbit Polyclonal Antibody
Brand: Invitrogen™ PA553023
This item is not returnable.
View return policy
Description
Immunogen sequence: VWKEAKPEDL MDSKLRCVFE LPAENDKPHD VEINKIISTT ASKTETPIVS KSLSSSLDDT EVKKVMEECK RLQGEVQRLR EENKQFKEED GLRMRKTVQS NSPISALAPT GK Highest antigen sequence identity to the following orthologs: Mouse - 82%, Rat - 79%.
Vesicle-associated membrane protein-associated protein B/C is a protein that in humans is encoded by the VAPB gene. The VAPB gene is found on the 20th human chromosome. The protein encoded by this gene is a type IV membrane protein found in plasma and intracellular vesicle membranes. The encoded protein is found as a homodimer and as a heterodimer with VAPA. This protein also can interact with VAMP1 and VAMP2 and may be involved in vesicle trafficking.
Specifications
| VAPB | |
| Polyclonal | |
| Unconjugated | |
| VAPB | |
| AI225786; AI840687; AI848259; ALS 8; ALS8; ALS8VAMP-B/VAMP-C; D2Abb2e; R75548; UNQ484/PRO983; vamp; VAMP (vesicle-associated membrane protein)-associated protein B and C; Vamp 33b; VAMP associated protein B and C; VAMP B; VAMP B VAMP C; VAMP B/VAMP C; VAMP C; Vamp33b; VAMP-associated 33 kDa protein; VAMP-associated protein 33b; VAMP-associated protein B; VAMPB; VAMP-B; VAMPB/VAMPC; VAMP-B/VAMP-C; VAMPC; VAMP-C; VAP 33b; VAP B; VAP B/VAP C; VAP C; VAP33b; Vapb; VAP-B; VAPB/VAPC; VAP-B/VAP-C; VAPC; VAP-C; vesicle-associated membrane protein, associated protein B and C; vesicle-associated membrane protein-associated protein B; Vesicle-associated membrane protein-associated protein B/C | |
| Rabbit | |
| Antigen affinity chromatography | |
| RUO | |
| 56491, 60431, 9217 | |
| Store at 4°C short term. For long term storage, store at -20°C, avoiding freeze/thaw cycles. | |
| Liquid |
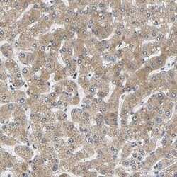
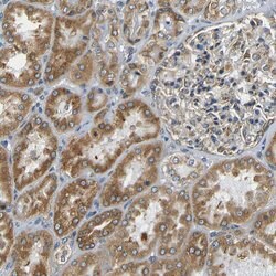
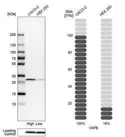
| Immunohistochemistry (Paraffin), Western Blot, Immunocytochemistry | |
| 0.3 mg/mL | |
| PBS with 40% glycerol and 0.02% sodium azide; pH 7.2 | |
| O95292, Q9QY76, Q9Z269 | |
| VAPB | |
| Recombinant protein corresponding to Human VAPB. Recombinant protein control fragment (Product #RP-90173). | |
| 100 μL | |
| Primary | |
| Human, Mouse, Rat | |
| Antibody | |
| IgG |
Product Content Correction
Your input is important to us. Please complete this form to provide feedback related to the content on this product.
Product Title
Spot an opportunity for improvement?Share a Content Correction