missing translation for 'onlineSavingsMsg'
Learn More

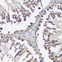
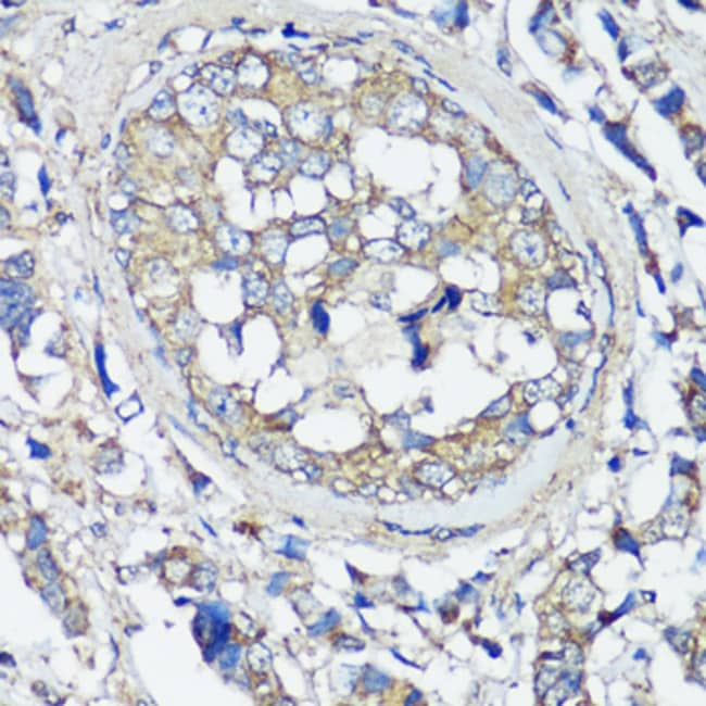
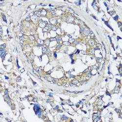
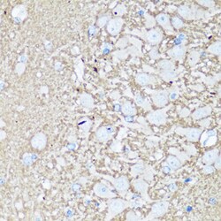
Invitrogen™ VAMP2 Polyclonal Antibody

Rabbit Polyclonal Antibody

Brand:  Invitrogen™ PA588582

Product Code. 16566781

  • £441.00 / 100µL

Please to purchase this item. Need a web account? Register with us today!

This item is not returnable. View return policy

Description

Description

Immunogen sequence: MSATAATAPP AAPAGEGGPP APPPNLTSNR RLQQTQAQVD EVVDIMRVNV DKVLERDQKL SELDDRADAL QAGASQFETS AAKLKRKYWW KNLKMMIILG; Positive Samples: 22Rv1, Mouse brain, Mouse lung, Rat brain; Cellular Location: Cell junction, Cell membrane, Cytoplasmic vesicle, Single-pass type IV membrane protein, secretory vesicle, synapse, synaptic vesicle membrane, synaptosome.

The vesicle associated membrane proteins (VAMP) or synaptobrevins are calcium binding proteins specific to eukaryotes. VAMPs, along with synaptosomal associated protein of 25 kDa (SNAP-25) and syntaxin, form the core complex of soluble NSF attachment protein receptor (SNARE) proteins that interact with the soluble proteins N-ethylmaleimide-sensitive factor (NSF) and alpha-SNAP. These membrane associated proteins play a key role in the regulation of vesicle membrane fusion with the plasma membrane. The Clostridium tetani neurotoxin is a metalloprotease with specificity for VAMP. In Alzheimer's disease, VAMP levels of all isoforms appear to be significantly lowered. It is suggested that VAMP-2 is a resident protein of the insulin-sensitive glucose transporter type 4 (GLUT4) compartment and that it is required for GLUT4 vesicle incorporation into the cell surface in response to insulin.
TRUSTED_SUSTAINABILITY
Specifications

Specifications

VAMP2
Polyclonal
Unconjugated
VAMP2
RATVAMPB; RATVAMPIR; SYB; SYB2; Syb-2; sybII; Synaptobrevin; synaptobrevin 2; Synaptobrevin 2 (vesicle-associated membrane protein VAMP-2); synaptobrevin II; synaptobrevin-2; vamp; Vamp2; VAMP-2; vesicle associated membrane protein 2; vesicle-associated membrane 2; Vesicle-associated membrane protein (synaptobrevin 2); vesicle-associated membrane protein 2; vesicle-associated membrane protein 2 (synaptobrevin 2)
Rabbit
Affinity chromatography
RUO
22318, 24803, 6844
-20°C, Avoid Freeze/Thaw Cycles
Liquid
ELISA, Immunohistochemistry (Paraffin), Western Blot
0.42 mg/mL
PBS with 50% glycerol and 0.09% sodium azide; pH 7.3
P63027, P63044, P63045
VAMP2
A synthetic peptide corresponding to a sequence within amino acids 1-100 of human VAMP2 (NP_0550472).
100 μL
Primary
Human, Mouse, Rat
Antibody
IgG
Product Suggestions

Product Suggestions

Videos
SDS
Documents

Documents

Certificates
Promotions

Promotions

Product Content Correction

Your input is important to us. Please complete this form to provide feedback related to the content on this product.

Product Title

By clicking Submit, you acknowledge that you may be contacted by Fisher Scientific in regards to the feedback you have provided in this form. We will not share your information for any other purposes. All contact information provided shall also be maintained in accordance with our Privacy Policy.

Thank You! Your feedback has been submitted. Fisher Scientific is always working to improve our content for you. We appreciate your feedback.