missing translation for 'onlineSavingsMsg'
Learn More
Learn More
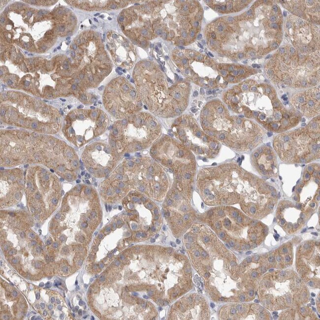
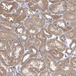
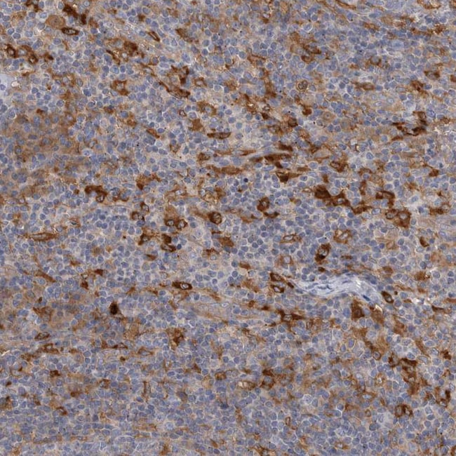
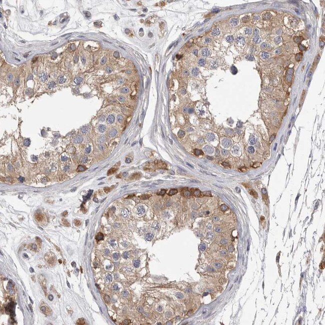
Invitrogen™ VAC14 Polyclonal Antibody

Rabbit Polyclonal Antibody
Brand: Invitrogen™ PA555685
This item is not returnable.
View return policy
Description
Immunogen sequence: IVQVLNCHLS DTAIGMMTRI AVLKWLYHLY IKTPRKMFRH TDSLFPILLQ TLSDESDEVI LKDLEVLAEI ASSPAGQTDD PGPLDGPDLQ ASHSELQVPT PGRAGLLNTS GTKGLECSPS TPTMNSYFYK FMINLLKRFS S Highest antigen sequence identity to the following orthologs: Mouse - 89%, Rat - 91%.
Vac14 a putative cytoskeletal interacting protein; mutation of gene may be associated with lethal communicating hydrocephalus with perinatal onset.
Specifications
| VAC14 | |
| Polyclonal | |
| Unconjugated | |
| Vac14 | |
| AA959718; ArPIKfyve; BC032215; D8Wsu151e; ingls; Protein VAC14 homolog; Tax1 (human T-cell leukemia virus type I) binding protein 1; Tax1 (human T-cell leukemia virus type I) binding protein 2; tax1-binding protein 2; TAX1BP2; TRX; Vac14; Vac14 homolog; Vac14 homolog (S. cerevisiae); Vac14, PIKFYVE complex component; vacuole 14 protein; vacuole morphology 14 | |
| Rabbit | |
| Antigen affinity chromatography | |
| RUO | |
| 55697 | |
| Store at 4°C short term. For long term storage, store at -20°C, avoiding freeze/thaw cycles. | |
| Liquid |
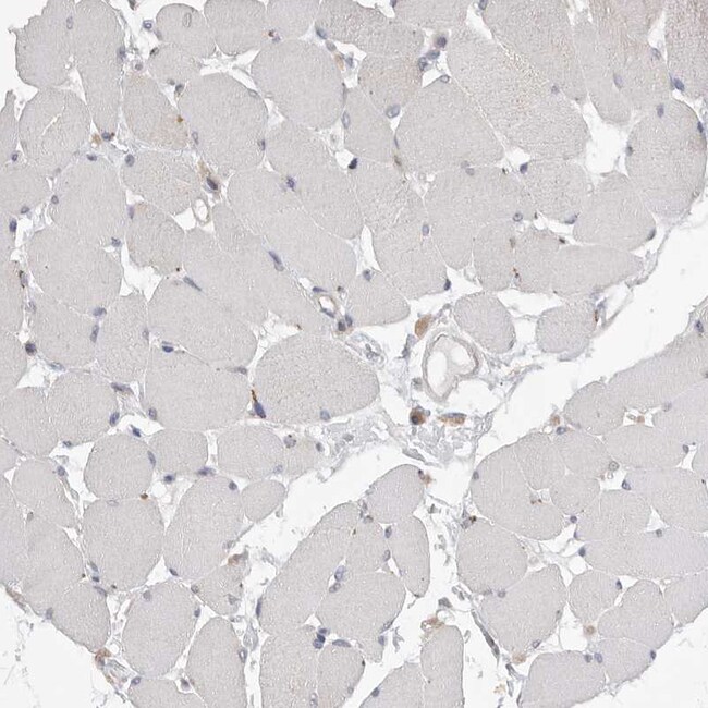
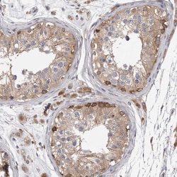
| Immunohistochemistry (Paraffin) | |
| Lot-Specific | |
| PBS with 40% glycerol and 0.02% sodium azide; pH 7.2 | |
| Q08AM6 | |
| Vac14 | |
| Recombinant protein corresponding to Human VAC14. Recombinant protein control fragment (Product #RP-102033). | |
| 100 μL | |
| Primary | |
| Human | |
| Antibody | |
| IgG |
Product Content Correction
Your input is important to us. Please complete this form to provide feedback related to the content on this product.
Product Title
Spot an opportunity for improvement?Share a Content Correction