missing translation for 'onlineSavingsMsg'
Learn More

USP20 Rabbit anti-Human, Mouse, Rat, Polyclonal, Proteintech

Rabbit Polyclonal Antibody

Brand:  Proteintech 17491-1-AP-150UL

 View more versions of this product

Product Code. 16867384

  • £349.00 / 150µL

Please to purchase this item. Need a web account? Register with us today!

This item is not returnable. View return policy

Description

Description

SLAIN2 is closely related to SLAIN1, a novel stem cell protein that is expressed at the stem cell and epiblast stages. Unlike SLAIN1, SLAIN2 is widely expressed and is thought to play a role in regulating microtubule (MT) growth and organization. SLAIN2 binds to end-binding proteins (EBs), cytoplasmic linker proteins (CLIPs) such as CLIP170, CLIP-associated proteins, and interacts with the MT polymerase ch-TOG. Depletion of SLAIN2 using RNAi led to disorganization of the radial MT array, indicating its importance in the regulation of MT growth and organization.
Specifications

Specifications

USP20
Polyclonal
Unconjugated
USP20
Deubiquitinating enzyme 20, hVDU2, KIAA1003, LSFR3A, Ubiquitin thiolesterase 20, USP20, VDU2
Rabbit
Antigen Affinity Chromatography
RUO
10868, 311856, 74270
-20°C
Liquid
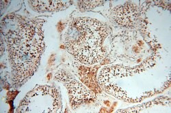
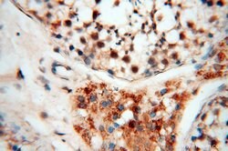
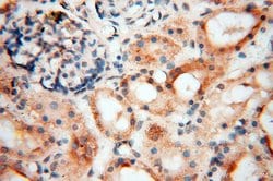
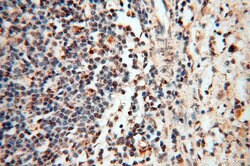
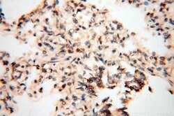
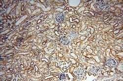
Immunohistochemistry (Paraffin), Immunoprecipitation, Western Blot
0.25 mg/mL
PBS with 50% glycerol and 0.02% sodium azide; pH 7.3
Q8C6M1, Q9Y2K6
Usp20
USP20 Fusion Protein Ag11590
150 μL
Primary
Human, Mouse, Rat
Antibody
IgG
Suggestions de produits

Suggestions de produits

Vidéos
FDS
Documents

Documents

Certificats
Promotions

Promotions

Product Content Correction

Your input is important to us. Please complete this form to provide feedback related to the content on this product.

Product Title

By clicking Submit, you acknowledge that you may be contacted by Fisher Scientific in regards to the feedback you have provided in this form. We will not share your information for any other purposes. All contact information provided shall also be maintained in accordance with our Privacy Policy.

Thank You! Your feedback has been submitted. Fisher Scientific is always working to improve our content for you. We appreciate your feedback.