missing translation for 'onlineSavingsMsg'
Learn More
Learn More
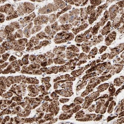
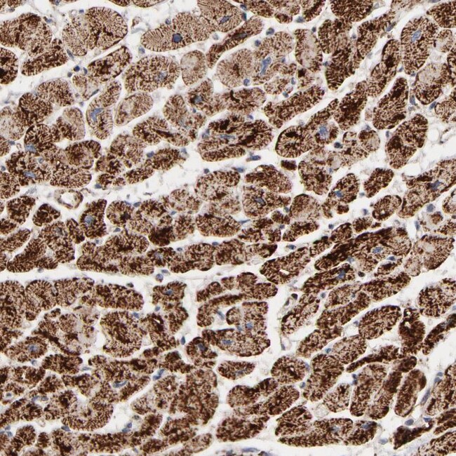
Invitrogen™ UQCRC1 Polyclonal Antibody

Rabbit Polyclonal Antibody
Brand: Invitrogen™ PA582101
This item is not returnable.
View return policy
Description
Immunogen sequence: DDALPFAHVA IAVEGPGWAS PDNVALQVAN AIIGHYDCTY GGGVHLSSPL ASGAVANKLC QSFQTFSICY AETGLLGAHF VCDRMKIDDM MFVLQGQWMR LCTSATESEV ARGKNILRNA LVSHLDGTTP VCEDIGR Highest antigen sequence indentity to the following orthologs: Rat - 91%, Mouse - 91%.
UQCRC1 encodes a product that is a component of the ubiquinol-cytochrome c reductase complex (complex III or cytochrome b-c1 complex), which is part of the mitochondrial respiratory chain. This protein may mediate formation of the complex between cytochromes c and c1.
Specifications
| UQCRC1 | |
| Polyclonal | |
| Unconjugated | |
| Uqcrc1 | |
| 1110032G10Rik; Complex III subunit 1; core protein I; Cytochrome b-c1 complex subunit 1, mitochondrial; D3S3191; hypothetical protein MGC73404; QCR1; ubiquinol--cytochrome c reductase; ubiquinol-cytochrome c reductase core I protein; ubiquinol-cytochrome c reductase core protein 1; ubiquinol-cytochrome c reductase core protein I; ubiquinol-cytochrome-c reductase complex core protein 1; UQCR1; Uqcrc1; UQCRC1 protein; zgc:73404; zgc:85750 | |
| Rabbit | |
| Antigen affinity chromatography | |
| RUO | |
| 7384 | |
| Store at 4°C short term. For long term storage, store at -20°C, avoiding freeze/thaw cycles. | |
| Liquid |
| Immunohistochemistry (Paraffin), Western Blot | |
| 0.1 mg/mL | |
| PBS with 40% glycerol and 0.02% sodium azide; pH 7.2 | |
| P31930 | |
| Uqcrc1 | |
| Recombinant protein corresponding to Human UQCRC1. Recombinant protein control fragment (Product #RP-102222). | |
| 100 μL | |
| Primary | |
| Human | |
| Antibody | |
| IgG |
Product Content Correction
Your input is important to us. Please complete this form to provide feedback related to the content on this product.
Product Title
Spot an opportunity for improvement?Share a Content Correction