missing translation for 'onlineSavingsMsg'
Learn More
Learn More
Invitrogen™ UGT2B17 Polyclonal Antibody

Rabbit Polyclonal Antibody
Brand: Invitrogen™ PA513430
This item is not returnable.
View return policy
Description
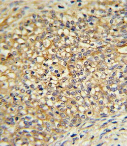
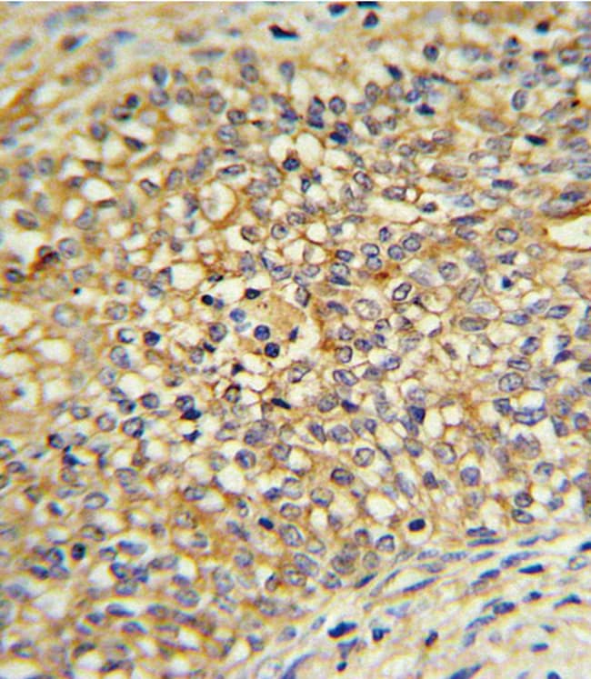
UGT2B17 Polyclonal Antibody for Western Blot, IHC (P)
UGT2B17 belongs to the family of UDP-glucuronosyltransferases (UGTs; EC 2.4.1.17), enzymes that catalyze the transfer of glucuronic acid from uridine diphosphoglucuronic acid to a variety of substrates, including steroid hormones.
Specifications
| UGT2B17 | |
| Polyclonal | |
| Unconjugated | |
| UGT2B17 | |
| BMND12; C19-steroid-specific UDP-glucuronosyltransferase; C19-steroid-specific UDPGT; UDP glucuronosyltransferase 2 family, polypeptide B17; UDP glucuronosyltransferase family 2 member B17; UDP glycosyltransferase 2 family, member B17; UDP-glucuronosyltransferase 2B17; UDP-glucuronyltransferase, family 2, beta-17; UDPGT 2B17; UDPGT2B17; UGT2B17 | |
| Rabbit | |
| Ammonium Sulfate Precipitation, Size-exclusion - Dialysis | |
| RUO | |
| 7367 | |
| Store at 4°C short term. For long term storage, store at -20°C, avoiding freeze/thaw cycles. | |
| Liquid |
| Immunohistochemistry (Paraffin), Western Blot | |
| 2 mg/mL | |
| PBS with 0.09% sodium azide; pH 7.4 | |
| O75795 | |
| UGT2B17 | |
| KLH conjugated synthetic peptide between 119-147 amino acids from the central region of human UDB17. | |
| 400 μL | |
| Primary | |
| Human | |
| Antibody | |
| IgG |
Product Content Correction
Your input is important to us. Please complete this form to provide feedback related to the content on this product.
Product Title
Spot an opportunity for improvement?Share a Content Correction