Learn More
Invitrogen™ Ubiquitin Recombinant Rabbit Monoclonal Antibody (5J3V7)

Rabbit Recombinant Monoclonal Antibody
Brand: Invitrogen™ MA537950
Description
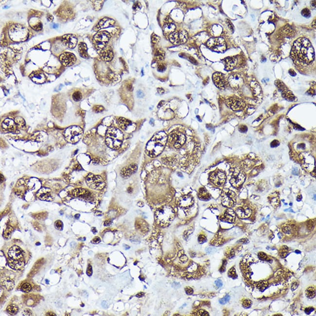
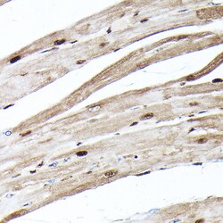
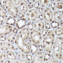
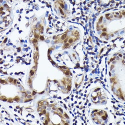
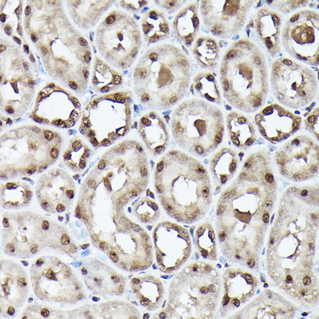
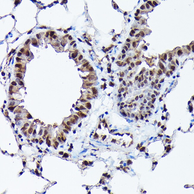
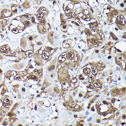
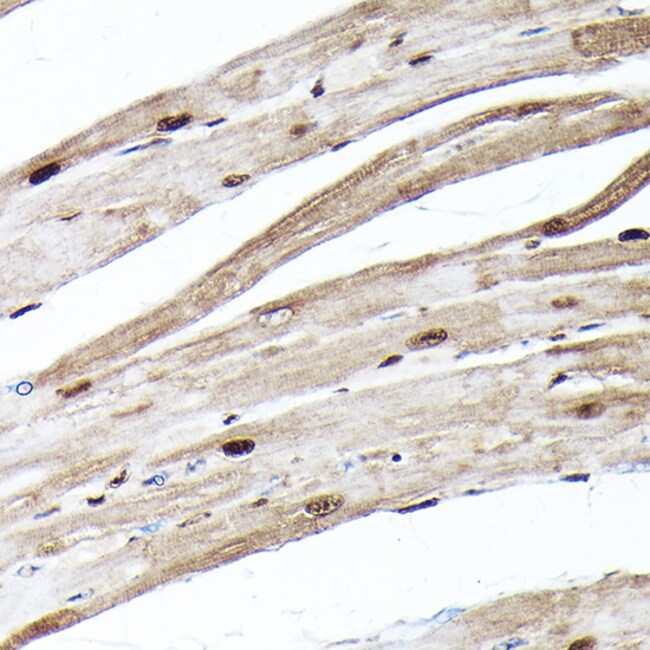
Positive Samples: U-251MG, HepG2, A-549, HeLa Immunogen sequence: MQIFVKTLTG KTITLEVEPS DTIENVKAKI QDKEGIPPDQ QRLIFAGKQL EDGRTLSDYN IQKESTLHLV LRLRGGMQIF VKTLTGKTIT LEVEPSDTIE NVKAKIQDKE GIPPDQQRLI FAGKQLEDGR TLSDYNIQKE STLHLVLRLR GGMQIFVKTL TGKTITLEVE PSDTIENVKA KIQDKEGIPP DQQRLIFAGK QLEDGRTLSD YNIQKESTLH LVLRLRGG.
Ubiquitin, a highly conserved protein that has a major role in targeting cellular proteins for degradation by the 26S proteosome, is synthesized as a precursor protein consisting of either polyubiquitin chains or a single ubiquitin fused to an unrelated protein. This gene encodes a fusion protein consisting of ubiquitin at the N terminus and ribosomal protein S27a at the C terminus. When expressed in yeast, the protein is post-translationally processed, generating free ubiquitin monomer and ribosomal protein S27a. Ribosomal protein S27a is a component of the 40S subunit of the ribosome and belongs to the S27AE family of ribosomal proteins. It contains C4-type zinc finger domains and is located in the cytoplasm. Pseudogenes derived from this gene are present in the genome. As with ribosomal protein S27a, ribosomal protein L40 is also synthesized as a fusion protein with ubiquitin; similarly, ribosomal protein S30 is synthesized as a fusion protein with the ubiquitin-like protein fubi. Multiple alternatively spliced transcript variants that encode the same proteins have been identified.
Specifications
| Ubiquitin | |
| Recombinant Monoclonal | |
| 0.6 mg/mL | |
| PBS with 0.05% BSA, 50% glycerol and 0.09% sodium azide; pH 7.3 | |
| P0CG47, P0CG48, P0CG49, P0CG50, P0CG51, P24051, P62979, P62982, P62983, P62984, P62986, P62987, Q63429, Q6ZWY3, Q71UM5 | |
| RPS27A, RPS27L, UBA52, UBB, UBC | |
| Recombinant protein (or fragment). | |
| 100 μL | |
| Primary | |
| Human, Mouse, Rat, All species | |
| Antibody | |
| IgG |
| ELISA, Immunohistochemistry (Paraffin), Western Blot | |
| 5J3V7 | |
| Unconjugated | |
| UBB | |
| 0610006J14Rik; 1810034D23Rik; 2700054O04Rik; 40S ribosomal protein S27a; 40S ribosomal protein S27-like; 40S ribosomal protein S27-like protein; AI194771; AL033289; CEP80; CG5271; CG5271-PA; Chap1; Dmel\CG5271; Dmel_CG5271; Dub80; epididymis luminal protein 112; epididymis secretory protein Li 50; HEL112; HEL-S-50; hm:zeh0386; HMG20; hPLIC-2; HRIHFB2157; HUBCEP52; ik:tdsubc_1f2; l(2)04820; l(2)31Ei; LOC100912032; LOC101747587; male female sterile 31; mfs(2)31; mfs(2)48; mfs48; OTTHUMP00000200786; OTTHUMP00000201692; PLIC-2; polyubiquitin; polyubiquitin B; polyubiquitin C; poly-ubiquitin precursor; polyubiquitin-B; Polyubiquitin-C; polyubiquitin-C-like; RE44350p; ribosomal protein S27; ribosomal protein S27 like; ribosomal protein S27A; ribosomal protein S27a L homeolog; ribosomal protein S27a S homeolog; ribosomal protein S27-like; ribosomal protein S27-like protein; RPL40; RpS27; Rps27a; rps27a.L; rps27a.S; RpS27A-PA; RPS27L; S27A; similar to polyubiquitin; similar to ubiquitin-S27a fusion protein; Small ribosomal subunit protein eS27-like; Small ribosomal subunit protein eS31; tdsubc_1f2; TI-225; UB3-D; Uba52; UBA80; UBB; Ubb2; UBC; UBCEP1; UBCEP80; Ubi-f80; Ubi-m; Ubiq; Ubiquilin 2; ubiquitin; ubiquitin (34 AA) (1 is 2nd base in codon); ubiquitin and ribosomal protein S27a; ubiquitin B; ubiquitin C; ubiquitin carboxyl extension protein 80; ubiquitin copy 4; ubiquitin fusion 80; ubiquitin polyprotein (heat shock related); ubiquitin/ribosomal protein; ubiquitin-40S ribosomal protein S27a; ubiquitin-40S ribosomal protein S27a-like; ubiquitin-CEP80; ubiquitin-hybrid protein precursor; Ubiquitin-monomeric; Ubiquitin-related; Ubiquitin-related 1; Ubiquitin-related 2; ubiquitin-S27a fusion protein; Unknown (protein for MGC:127652); unnamed protein product; XELAEV_18028796mg; xx:tdsubc_1f2; zgc:66168; zgc:66168 protein | |
| Rabbit | |
| Affinity chromatography | |
| RUO | |
| 100912032, 192255, 22186, 22187, 22190, 50522, 51065, 6233, 64156, 67941, 681429, 7311, 7314, 7316, 78294 | |
| -20°C, Avoid Freeze/Thaw Cycles | |
| Liquid |
Your input is important to us. Please complete this form to provide feedback related to the content on this product.