missing translation for 'onlineSavingsMsg'
Learn More
Learn More
Invitrogen™ UBE2W Polyclonal Antibody

Rabbit Polyclonal Antibody
Brand: Invitrogen™ PA571833
This item is not returnable.
View return policy
Description
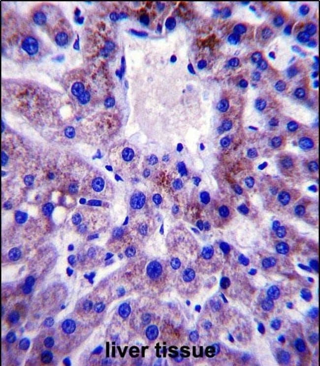
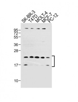
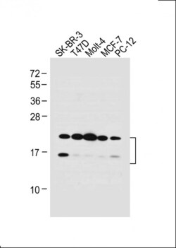
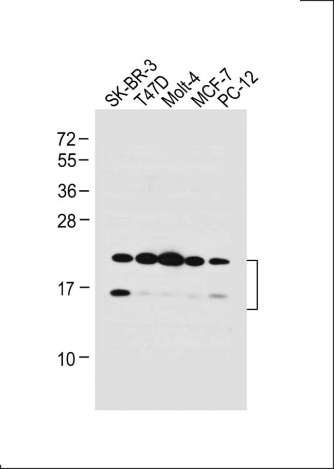
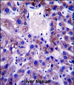
UBE2W Polyclonal Antibody for Western Blot, IHC (P)
UBE2W accepts ubiquitin from the E1 complex and catalyzes its covalent attachment to other proteins, and catalyzes monoubiquitination. Further, UBE2W is involved in degradation of misfolded chaperone substrates by mediating monoubiquitination of STUB1/CHIP, leading to recruitment of ATXN3 to monoubiquitinated STUB1/CHIP, and restriction of the length of ubiquitin chain attached to STUB1/CHIP substrates by ATXN3. After UV irradiation, but not after mitomycin-C (MMC) treatment, acts as a specific E2 ubiquitin-conjugating enzyme for the Fanconi anemia complex by associating with E3 ubiquitin-protein ligase FANCL and catalyzing monoubiquitination of FANCD2, a key step in the DNA damage pathway. UBE2W In vitro catalyzes 'Lys-11'-linked polyubiquitination, and transfers ubiquitin in complex with RING/U-box type E3s that do not have active site cysteine residues to form thioester bonds with ubiquitin, and preferentially ubiquitinates the N-terminus of substrates, such as ATXN3, STUB1 and SUMO2.
Specifications
| UBE2W | |
| Polyclonal | |
| Unconjugated | |
| UBE2W | |
| 6130401J04Rik; E2 ubiquitin-conjugating enzyme W; N-terminal E2 ubiquitin-conjugating enzyme; N-terminus-conjugating E2; probable ubiquitin-conjugating enzyme E2 W; UBC16; UBC-16; UBE2W; Ubiquitin carrier protein W; ubiquitin conjugating enzyme E2 W (putative); ubiquitin conjugating enzyme E2W (putative); ubiquitin-conjugating enzyme 16; ubiquitin-conjugating enzyme 2W; ubiquitin-conjugating enzyme E2 W; ubiquitin-conjugating enzyme E2 W-like; ubiquitin-conjugating enzyme E2W; ubiquitin-conjugating enzyme E2W (putative); ubiquitin-protein ligase W | |
| Rabbit | |
| Antigen affinity chromatography, Protein A | |
| RUO | |
| 100909445, 55284, 66799 | |
| Store at 4°C short term. For long term storage, store at -20°C, avoiding freeze/thaw cycles. | |
| Liquid |
| Immunohistochemistry (Paraffin), Western Blot | |
| 0.4 mg/mL | |
| PBS with 0.09% sodium azide; pH 7.4 | |
| B5DEI4, Q8VDW4, Q96B02 | |
| UBE2W | |
| KLH conjugated synthetic peptide between 105-133 amino acids from the C-terminal region of human UBE2W. | |
| 400 μL | |
| Primary | |
| Human, Mouse, Rat | |
| Antibody | |
| IgG |
Product Content Correction
Your input is important to us. Please complete this form to provide feedback related to the content on this product.
Product Title
Spot an opportunity for improvement?Share a Content Correction