missing translation for 'onlineSavingsMsg'
Learn More

Invitrogen™ UBE2T Recombinant Rabbit Monoclonal Antibody (24GB2350)

Rabbit Recombinant Monoclonal Antibody

Brand:  Invitrogen™ MA557815

 View more versions of this product

Product Code. 30275063

  • £172.00 / 20µL

Please to purchase this item. Need a web account? Register with us today!

This item is not returnable. View return policy

Description

Description

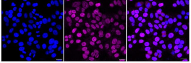
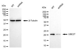
UBE2T Recombinant Monoclonal Antibody for Western Blot, ICC/IF, Flow

UBE2T is involved in the covalent conjugation of ubiquitin to proteins regulates diverse cellular pathways and proteins. Ubiquitin is transferred to a target protein through a concerted action of a ubiquitin-activating enzyme (E1), a ubiquitin-conjugating enzyme (E2), such as UBE2T, and a ubiquitin ligase (E3). UBE2T catalyzes the covalent attachment of ubiquitin to protein substrates. Functionally, UBE2T accepts ubiquitin from the E1 complex and catalyzes its covalent attachment to other proteins, catalyzes monoubiquitination, is involved in mitomycin-C (MMC)-induced DNA repair, and catalyzES monoubiquitination of FANCD2, a key step in the DNA damage pathway. Defects in the UBE2T gene have been associated with Fanconi anemia of complementation group T.
TRUSTED_SUSTAINABILITY
Specifications

Specifications

UBE2T
Recombinant Monoclonal
1.2 mg/mL
PBS with 50% glycerol and 0.02% sodium azide; pH 7.4
Q9CQ37, Q9NPD8
UBE2T
A synthesized peptide derived from human HSPC150 (aa 15-74).
20 μL
Primary
Human, Mouse, Rat
Antibody
IgG
Flow Cytometry, Western Blot, Immunocytochemistry
24GB2350
Unconjugated
UBE2T
2700084L22Rik; C80607; Cell proliferation-inducing gene 50 protein; E2 ubiquitin-conjugating enzyme T; FANCT; HSPC150; HSPC150 protein similar to ubiquitin-conjugating enzyme; PIG50; RGD1310816; Ube2t; Ubiquitin carrier protein T; ubiquitin conjugating enzyme E2 T; ubiquitin conjugating enzyme E2T; ubiquitin-conjugating enzyme E2 T; ubiquitin-conjugating enzyme E2T; ubiquitin-conjugating enzyme E2T (putative); ubiquitin-protein ligase T
Rabbit
Affinity chromatography
RUO
29089, 360847, 67196
-20°C
Liquid
Product Suggestions

Product Suggestions

Videos
SDS
Documents

Documents

Certificates
Promotions

Promotions

Product Content Correction

Your input is important to us. Please complete this form to provide feedback related to the content on this product.

Product Title

By clicking Submit, you acknowledge that you may be contacted by Fisher Scientific in regards to the feedback you have provided in this form. We will not share your information for any other purposes. All contact information provided shall also be maintained in accordance with our Privacy Policy.

Thank You! Your feedback has been submitted. Fisher Scientific is always working to improve our content for you. We appreciate your feedback.