missing translation for 'onlineSavingsMsg'
Learn More

Invitrogen™ UBE2D1 Recombinant Rabbit Monoclonal Antibody (8E6O0)

Rabbit Recombinant Monoclonal Antibody

Brand:  Invitrogen™ MA555371

Product Code. 30130961

  • £377.00 / 100µL

Please to purchase this item. Need a web account? Register with us today!

This item is not returnable. View return policy

Description

Description

Immunogen Sequence: FFLTVHFPTD YPFKPPKIAF TTKIYHPNIN SNGSICLDIL RSQWSPALTV SKVLLSICSL LCDPNPDDPL VPDIAQIYKS DKEKYNRHAR EWTQKYAM.

The modification of proteins with ubiquitin is an important cellular mechanism for targeting abnormal or short-lived proteins for degradation. Ubiquitination involves at least three classes of enzymes: ubiquitin-activating enzymes, or E1s, ubiquitin-conjugating enzymes, or E2s, and ubiquitin-protein ligases, or E3s. This gene encodes a member of the E2 ubiquitin-conjugating enzyme family. This enzyme is closely related to a stimulator of iron transport (SFT), and is up-regulated in hereditary hemochromatosis. It also functions in the ubiquitination of the tumor-suppressor protein p53 and the hypoxia-inducible transcription factor HIF1alpha by interacting with the E1 ubiquitin-activating enzyme and the E3 ubiquitin-protein ligases.
TRUSTED_SUSTAINABILITY
Specifications

Specifications

UBE2D1
Recombinant Monoclonal
0.6 mg/mL
PBS with 0.05% BSA, 50% glycerol and 0.02% sodium azide; pH 7.3
D3ZDK2, P51668, P61080
UBE2D1
Recombinant fusion protein containing a sequence corresponding to amino acids 50-147 of human SFT.
100 μL
Primary
Human, Mouse, Rat
Antibody
IgG
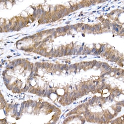
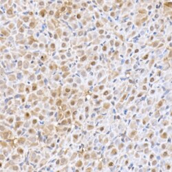
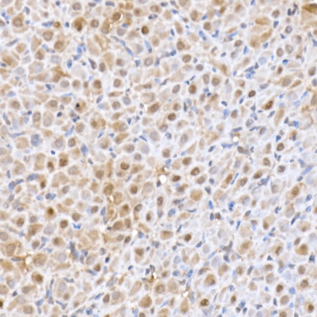
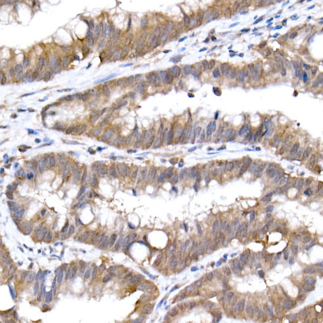
ELISA, Immunohistochemistry (Paraffin)
8E6O0
Unconjugated
UBE2D1
(E3-independent) E2 ubiquitin-conjugating enzyme D1; E2 ubiquitin-conjugating enzyme D1; E2(17)KB 1; E2(17)KB1; SFT; Stimulator of Fe transport; UBC 4/5; UBC4/5; UBC4/5 homolog; UBC5A; UBCH 5; UBCH 5A; UBCH5; UBCH5A; UBE2D1; ubiquitin; Ubiquitin carrier protein D1; ubiquitin conjugating enzyme E2 D1; ubiquitin conjugating enzyme E2D 1; ubiquitin-conjugating enzyme E2 D1; Ubiquitin-conjugating enzyme E2(17)KB 1; ubiquitin-conjugating enzyme E2-17 kDa 1; ubiquitin-conjugating enzyme E2D 1; ubiquitin-conjugating enzyme E2D 1 (UBC4/5 homolog, yeast); ubiquitin-conjugating enzyme E2D 1, UBC4/5 homolog; ubiquitin-protein ligase D1
Rabbit
Protein A
RUO
216080, 361831, 7321
-20°C, Avoid Freeze/Thaw Cycles
Liquid
Product Suggestions

Product Suggestions

Videos
SDS
Documents

Documents

Certificates
Promotions

Promotions

Product Content Correction

Your input is important to us. Please complete this form to provide feedback related to the content on this product.

Product Title

By clicking Submit, you acknowledge that you may be contacted by Fisher Scientific in regards to the feedback you have provided in this form. We will not share your information for any other purposes. All contact information provided shall also be maintained in accordance with our Privacy Policy.

Thank You! Your feedback has been submitted. Fisher Scientific is always working to improve our content for you. We appreciate your feedback.