Learn More
Invitrogen™ UBA5 Polyclonal Antibody

Rabbit Polyclonal Antibody
Brand: Invitrogen™ PA590523
Description
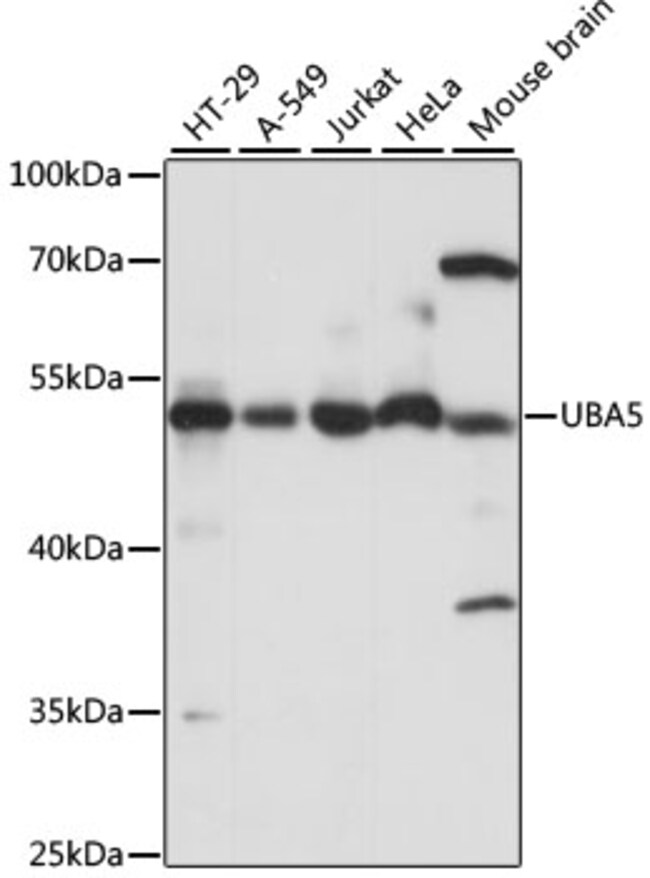
Immunogen sequence: MAESVERLQQ RVQELERELA QERSLQVPRS GDGGGGRVRI EKMSSEVVDS NPYSRLMALK RMGIVSDYEK IRTFAVAIVG VGGVGSVTAE MLTRCGIGKL LLFDYDKVEL ANMNRLFFQP HQAGLSKVQA AEHTLRNINP DVLFEVHNYN ITTVENFQHF MDRISNGGLE EGKPVDLVLS CVDNFEARMT INTACNELGQ TWMESGVSEN AVSGHIQLII PGESACFACA PPLVVAANID EKTLKREGVC AASLPTTMGV VAGILVQNVL KFLLNFGTVS FYLGYNAMQD FFPTMSMKPN PQCDDRNCRK QQEEYKKKVA ALPKQEVIQE EEEIIHEDNE WGIELVSEVS EEELKNFSGP VPDLPEGITV AYTIPKKQED SVTELTVEDS GESLEDLMAK MKNM; Positive Samples: HT-29, A-549, Jurkat, HeLa, Mouse brain; Cellular Location: Cytoplasm, Nucleus.
This gene encodes a member of the E1-like ubiquitin-activating enzyme family. This protein activates ubiquitin-fold modifier 1, a ubiquitin-like post-translational modifier protein, via the formation of a high-energy thioester bond. Two alternatively spliced transcript variants encoding distinct isoforms have been found for this gene. A pseudogene located on chromosome 1 has also been identified.
Specifications
| UBA5 | |
| Polyclonal | |
| Unconjugated | |
| UBA5 | |
| 5730525G14Rik; AW240750; cb972; FLJ23251; FLJ23251UBA5; THIFP1; UBA5; UBA5, ubiquitin-activating enzyme E1 homolog; ube1dc1; ubiquitin like modifier activating enzyme 5; ubiquitin-activating enzyme 5; Ubiquitin-activating enzyme E1 domain-containing protein 1; ubiquitin-activating enzyme E1-domain containing 1; ubiquitin-like modifier activating enzyme 5; ubiquitin-like modifier-activating enzyme 5; ubiquitin-like modifier-activating enzyme 5-like protein; UFM1-activating enzyme | |
| Rabbit | |
| Affinity Chromatography | |
| RUO | |
| 300968, 66663, 79876 | |
| -20°C, Avoid Freeze/Thaw Cycles | |
| Liquid |
| ELISA, Immunohistochemistry (Paraffin), Western Blot | |
| 2.35 mg/mL | |
| PBS with 50% glycerol and 0.01% thimerosal; pH 7.3 | |
| Q5M7A4, Q8VE47, Q9GZZ9 | |
| UBA5 | |
| Recombinant fusion protein containing a sequence corresponding to amino acids 1-404 of human UBA5 (NP_0790941). | |
| 100 μL | |
| Primary | |
| Human, Mouse, Rat | |
| Antibody | |
| IgG |
Your input is important to us. Please complete this form to provide feedback related to the content on this product.