missing translation for 'onlineSavingsMsg'
Learn More

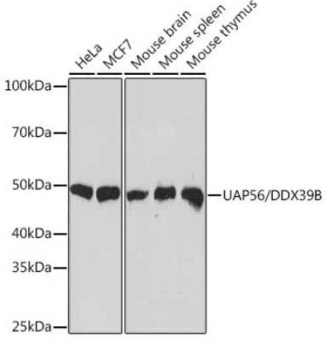
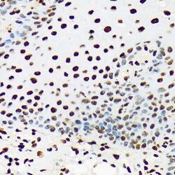
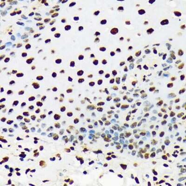
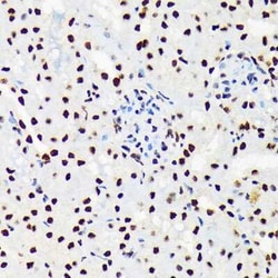
UAP56 Rabbit anti-Human, Mouse, Rat, Clone: 4A0Q2, Novus Biologicals™

Codice prodotto. 18363792 Sfoglia Tutto Bio Techne Prodotti
Cambia vista
Click to view available options
Quantity:
100 μg
20 μg
Dimensione della confezione:
100µL
20µL
2 product options available for selection
Product selection table with 2 available options. Use arrow keys to navigate and Enter or Space to select.
Codice prodotto. Quantity unitSize
18363792 100 μg 100µL
18305316 20 μg 20µL
Use arrow keys to navigate between rows. Press Enter or Space to select a product option. 2 options available.
2 options
Les retours ne sont pas autorisés pour ce produit. Consulta la politica di reso
Codice prodotto. 18363792 Fornitore Novus Biologicals N. del fornitore NBP316873100UL

Please to purchase this item. Need a web account? Register with us today!

Les retours ne sont pas autorisés pour ce produit. Consulta la politica di reso

Rabbit Monoclonal Antibody

UAP56 Monoclonal antibody specifically detects UAP56 in Human, Mouse, Rat samples. It is validated for Western Blot, Immunohistochemistry, Immunohistochemistry (Paraffin)
TRUSTED_SUSTAINABILITY

Specifica

Antigen UAP56
Applications Western Blot, Immunohistochemistry, Immunohistochemistry (Paraffin)
Classification Monoclonal
Clone 4A0Q2
Conjugate Unconjugated
Dilution Western Blot, Immunohistochemistry 1:50 - 1:200, Immunohistochemistry-Paraffin
Formulation PBS, 0.05% BSA, 50% glycerol, pH7.3
Gene Alias 56 kDa U2AF65-associated protein, ATP-dependent RNA helicase p47, DEAD (Asp-Glu-Ala-Asp) box polypeptide 39B, DEAD box protein UAP56, EC 3.6.4.13, HLA-B associated transcript 1, HLA-B-associated transcript 1 protein, spliceosome RNA helicase BAT1, UAP56D6S81EBAT1nuclear RNA helicase (DEAD family)
Host Species Rabbit
Immunogen Recombinant fusion protein containing a sequence corresponding to amino acids 310-428 of human UAP56 (Q13838).
Purification Method Affinity purified
Quantity 100 μg
Regulatory Status RUO
Research Discipline Proteases & Other Enzymes
Primary or Secondary Primary
Gene ID (Entrez) 7919
Target Species Human, Mouse, Rat
Content And Storage Store at -20°C. Avoid freeze-thaw cycles.
Form Purified
Isotype IgG
Vedi altri risultati Mostra meno risultati
Titolo del prodotto
Selezionare un problema

Facendo clic su Invia, l'utente riconosce che potrebbe essere contattato da Fisher Scientific in merito al feedback fornito in questo modulo. Non condivideremo le vostre informazioni per altri scopi. Tutte le informazioni di contatto fornite saranno conservate in conformità con la nostra Politica sulla privacy. Informativa sulla privacy.