missing translation for 'onlineSavingsMsg'
Learn More
Learn More
Invitrogen™ TUSC1 Polyclonal Antibody

Rabbit Polyclonal Antibody
Brand: Invitrogen™ PA550853
This item is not returnable.
View return policy
Description
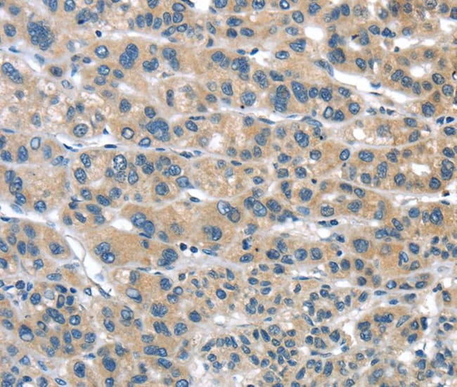
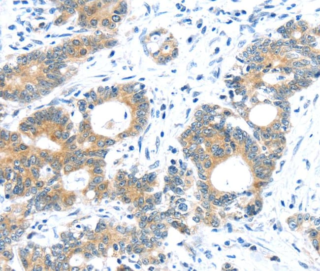
The antibody detects endogenous levels of total TUSC1 protein.
This gene is located within the region of chromosome 9p that harbors tumor suppressor genes critical in carcinogenesis. It is an intronless gene which is downregulated in non-small-cell lung cancer and small-cell lung cancer cell lines, suggesting that it may play a role in lung tumorigenesis.
Specifications
| TUSC1 | |
| Polyclonal | |
| Unconjugated | |
| TUSC1 | |
| 2200001D17Rik; TSG9; TSG-9; tumor suppressor candidate 1; tumor suppressor candidate gene 1 protein; Tumor suppressor candidate gene 1 protein homolog; tumour suppressor candidate 1; TUSC1 | |
| Rabbit | |
| Antigen Affinity Chromatography | |
| RUO | |
| 286319 | |
| -20°C | |
| Liquid |
| Immunohistochemistry (Paraffin) | |
| 2 mg/mL | |
| PBS with 40% glycerol and 0.05% sodium azide; pH 7.4 | |
| Q2TAM9 | |
| TUSC1 | |
| Synthetic peptide corresponding to residues near the C terminal of human tumor suppressor candidate 1. | |
| 100 μL | |
| Primary | |
| Human | |
| Antibody | |
| IgG |
Product Content Correction
Your input is important to us. Please complete this form to provide feedback related to the content on this product.
Product Title
Spot an opportunity for improvement?Share a Content Correction