missing translation for 'onlineSavingsMsg'
Learn More

Invitrogen™ TTLL12 Polyclonal Antibody
GREENER_CHOICE

Rabbit Polyclonal Antibody

Brand:  Invitrogen™ PA576352

Product Code. 15972875

  • £472.00 / 100µL

Please to purchase this item. Need a web account? Register with us today!

This item is not returnable. View return policy

Description

Description

The antibody was affinity-purified from rabbit antiserum by affinity-chromatography using epitope-specific immunogen and the purity is > 95% (by SDS-PAGE).

TTLL12 (tubulin tyrosine ligase-like family, member 12) is a 644 amino acid protein that contains one TTL domain. Of the fourteen members of the TTLL family that modify tubulin, TTLL12 is the least characterized member. TTLL12 is highly expressed in a multitude of metastatic prostate cancer cell lines, therefore, it is considered a target for tumor therapy. Overexpression of TTLL12 is suggested to alter chromosome ploidy, whereas downregulation of TTLL12 influence several post-translational modifications of tubulin.
TRUSTED_SUSTAINABILITY
Specifications

Specifications

TTLL12
Polyclonal
Unconjugated
TTLL12
BC055368; D430005B17; dJ526I14.2; Inactive tubulin--tyrosine ligase-like protein 12; KIAA0153; RGD1305319; TTL domain protein; ttll12; tubulin tyrosine ligase like 12; tubulin tyrosine ligase-like family member 12; tubulin tyrosine ligase-like family, member 12; tubulin--tyrosine ligase-like protein 12
Rabbit
Antigen affinity chromatography
RUO
223723, 23170, 300105
Store at 4°C short term. For long term storage, store at -20°C, avoiding freeze/thaw cycles.
Liquid
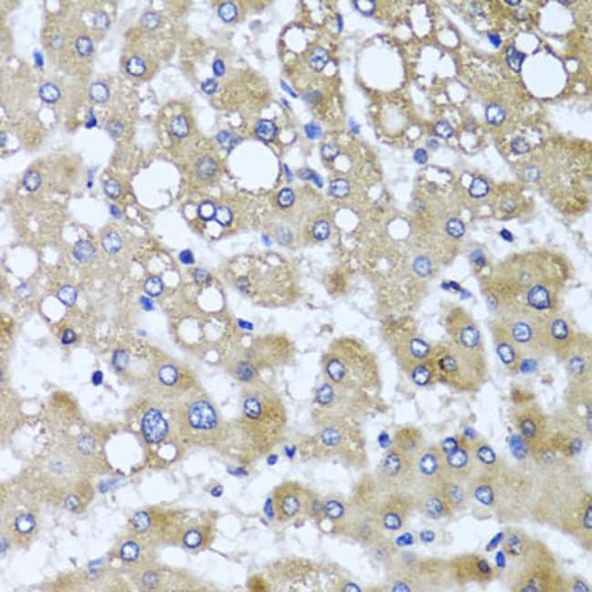
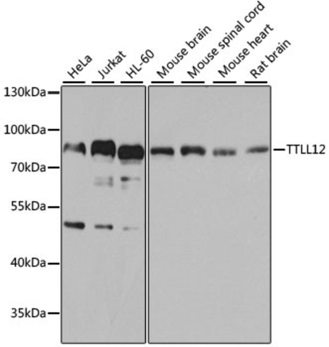
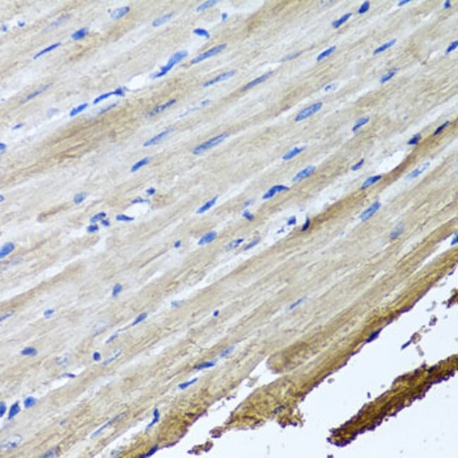
Immunohistochemistry (Paraffin), Western Blot
1 mg/mL
PBS with 50% glycerol and 0.02% sodium azide; pH 7.2
Q14166, Q3UDE2
TTLL12
Recombinant protein of human TTLL12.
100 μL
Primary
Human, Mouse, Rat
Antibody
IgG
Product Suggestions

Product Suggestions

Videos
SDS
Documents

Documents

Certificates
Promotions

Promotions

Product Content Correction

Your input is important to us. Please complete this form to provide feedback related to the content on this product.

Product Title

By clicking Submit, you acknowledge that you may be contacted by Fisher Scientific in regards to the feedback you have provided in this form. We will not share your information for any other purposes. All contact information provided shall also be maintained in accordance with our Privacy Policy.

Thank You! Your feedback has been submitted. Fisher Scientific is always working to improve our content for you. We appreciate your feedback.