missing translation for 'onlineSavingsMsg'
Learn More

TTC29 Antibody, Novus Biologicals™

Rabbit Polyclonal Antibody

Brand:  Novus Biologicals NBP2-49336-25ul

 View more versions of this product

Product Code. 18625507

  • £222.00 / 25µL

Please to purchase this item. Need a web account? Register with us today!

This item is not returnable. View return policy

Description

Description

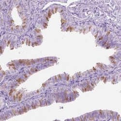
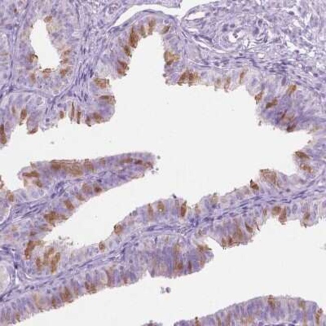
TTC29 Polyclonal antibody specifically detects TTC29 in Human samples. It is validated for Immunohistochemistry, Immunohistochemistry (Paraffin)
TRUSTED_SUSTAINABILITY
Specifications

Specifications

TTC29
Polyclonal
Immunohistochemistry 1:1000 - 1:2500, Immunohistochemistry-Paraffin 1:1000 - 1:2500
NYD-SP14, TBPP2A, tetratricopeptide repeat domain 29, tetratricopeptide repeat protein 29
This antibody was developed against a recombinant protein corresponding to amino acids: MTRPKLTALARQKLPCSSRKIPRSQLIKEKDDIDHYLEVNFKGLSKEEVAAYRNSYKKNICVDMLRDGYHKSFTELFALMERWD
25 μL
Primary
Human
Purified
Immunohistochemistry, Immunohistochemistry (Paraffin)
Unconjugated
PBS (pH 7.2), 40% Glycerol
Rabbit
Immunogen affinity purified
RUO
83894
Store at 4°C short term. Aliquot and store at -20°C long term. Avoid freeze-thaw cycles.
IgG
Product Suggestions

Product Suggestions

Videos
SDS
Documents

Documents

Certificates
Promotions

Promotions

Product Content Correction

Your input is important to us. Please complete this form to provide feedback related to the content on this product.

Product Title

By clicking Submit, you acknowledge that you may be contacted by Fisher Scientific in regards to the feedback you have provided in this form. We will not share your information for any other purposes. All contact information provided shall also be maintained in accordance with our Privacy Policy.

Thank You! Your feedback has been submitted. Fisher Scientific is always working to improve our content for you. We appreciate your feedback.