missing translation for 'onlineSavingsMsg'
Learn More

Invitrogen™ TSH beta Polyclonal Antibody, Invitrogen™

Rabbit Polyclonal Antibody

Brand:  Invitrogen™ PA5145494

 View more versions of this product

Product Code. 17959132

  • £161.00 / 20µL

Please to purchase this item. Need a web account? Register with us today!

This item is not returnable. View return policy

Description

Description

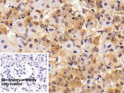
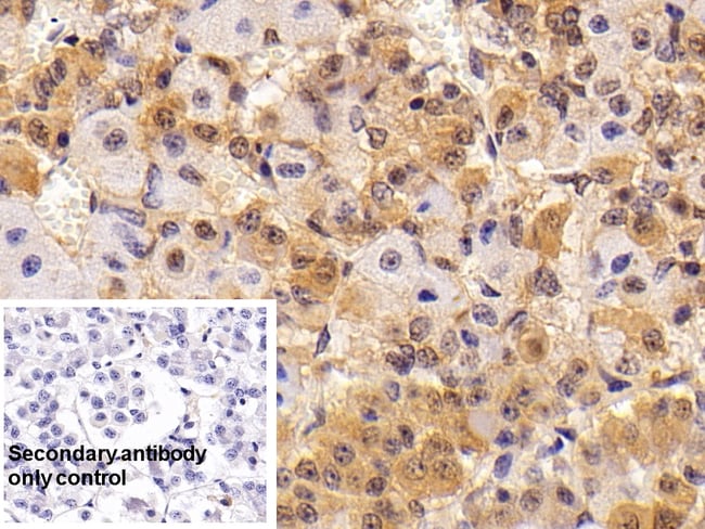
TSH is a pituitary hormone of 28kDa, which stimulates thyroid growth and production of thyroid hormones. This antibody labels thyrotropic cells of the pituitary.
TRUSTED_SUSTAINABILITY
Specifications

Specifications

TSH beta
Polyclonal
Unconjugated
TSHB
thyroid stimulating hormone beta; thyroid stimulating hormone subunit beta; thyroid stimulating hormone, beta; thyroid stimulating hormone, beta subunit; thyroid-stimulating hormone beta subunit; thyroid-stimulating hormone subunit beta; Thyrotropin alfa; Thyrotropin beta chain; thyrotropin beta subunit; thyrotropin subunit beta; TSH; Tshb; TSH-B; TSH-beta
Rabbit
Antigen affinity chromatography, Protein A
RUO
25653, 397658
Store at 4°C short term. For long term storage, store at -20°C, avoiding freeze/thaw cycles.
Liquid
Immunohistochemistry (Paraffin), Western Blot, Immunocytochemistry
0.5 mg/mL
PBS with 50% glycerol and 0.05% Proclin 300; pH 7.4
P01224, P04652
TSHB
Recombinant Rat TSHb protein, Phe21-Tyr132 (Accession #P04652).
20 μL
Primary
Pig, Rat
Antibody
IgG
Product Suggestions

Product Suggestions

Videos
SDS
Documents

Documents

Certificates
Promotions

Promotions

Product Content Correction

Your input is important to us. Please complete this form to provide feedback related to the content on this product.

Product Title

By clicking Submit, you acknowledge that you may be contacted by Fisher Scientific in regards to the feedback you have provided in this form. We will not share your information for any other purposes. All contact information provided shall also be maintained in accordance with our Privacy Policy.

Thank You! Your feedback has been submitted. Fisher Scientific is always working to improve our content for you. We appreciate your feedback.