missing translation for 'onlineSavingsMsg'
Learn More

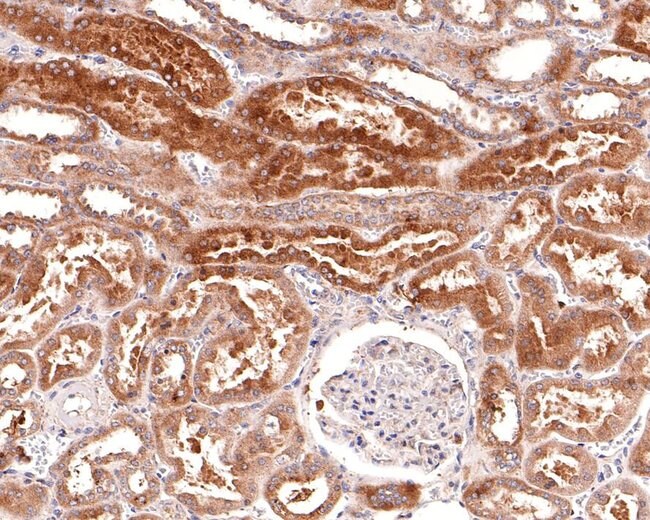
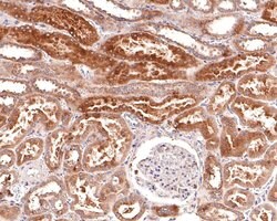
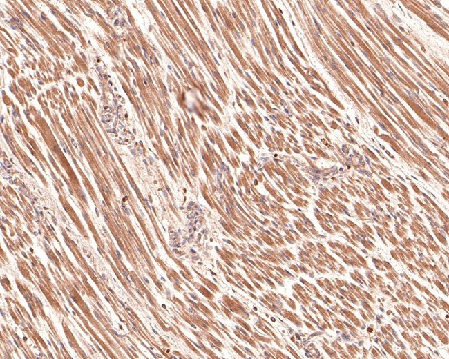
Invitrogen™ TSC1 Monoclonal Antibody (A6F1)
GREENER_CHOICE

Mouse Monoclonal Antibody

Brand:  Invitrogen™ MA544996

Product Code. 17846512

  • £419.00 / 100µL

Please to purchase this item. Need a web account? Register with us today!

This item is not returnable. View return policy

Description

Description

TSC1 Monoclonal Antibody for Western Blot, IHC (P)

Tuberous sclerosis complex (TSC) is an autosomal dominant tumor syndrome caused by mutations in either of the TSC1 or TSC2 tumor suppressor genes. The products of these genes form a protein complex that indirectly decreases the signaling of the mammalian Target of Rapamycin (TOR), an evolutionarily conserved serine/threonine kinase that regulates cell growth and cell cycle through its ability to integrate signals from nutrient levels and growth factors. TOR activity is stimulated by Rheb, a member of the Ras superfamily of G-proteins, when the GTP/GDP ratio bound to Rheb is high. Immunoprecipitated TSC1/TSC2 has been shown to stimulate Rheb GTPase activity in vitro, suggesting that the TSC1/TSC2 decreases the ability of Rheb to stimulate TOR activity. This is supported by experiments showing overexpression of TSC1 and TSC2 results in a significant decrease in the GTP/GDP ratio bound to Rheb and the inhibition of cell growth. A shorter 40 kDa isoform of TSC1 has been shown to exist but its function is unknown.
TRUSTED_SUSTAINABILITY
Specifications

Specifications

TSC1
Monoclonal
2 mg/mL
PBS with 0.05% BSA, 40% glycerol and 0.05% sodium azide; pH 7.4
Q92574, Q9EP53
TSC1
Recombinant protein within human Hamartin aa 401-600.
100 μL
Primary
Human, Mouse
Antibody
IgG1
Immunohistochemistry (Paraffin), Western Blot
A6F1
Unconjugated
TSC1
hamartin; HGNC:12362; Kiaa0243; LAM; MGC86987; OTTHUMP00000022439; OTTHUMP00000198378; TSC; Tsc1; tuberous sclerosis 1; tuberous sclerosis 1 protein; Tuberous sclerosis 1 protein homolog; tumor suppressor
Mouse
Protein G
RUO
64930, 7248
Store at 4°C short term. For long term storage, store at -20°C, avoiding freeze/thaw cycles.
Liquid
Product Suggestions

Product Suggestions

Videos
SDS
Documents

Documents

Certificates
Promotions

Promotions

Product Content Correction

Your input is important to us. Please complete this form to provide feedback related to the content on this product.

Product Title

By clicking Submit, you acknowledge that you may be contacted by Fisher Scientific in regards to the feedback you have provided in this form. We will not share your information for any other purposes. All contact information provided shall also be maintained in accordance with our Privacy Policy.

Thank You! Your feedback has been submitted. Fisher Scientific is always working to improve our content for you. We appreciate your feedback.