Learn More
Invitrogen™ TrxR1 Recombinant Rabbit Monoclonal Antibody (JA11-32)

Rabbit Recombinant Monoclonal Antibody
Brand: Invitrogen™ MA532712
Description
Recombinant rabbit monoclonal antibodies are produced using in vitro expression systems. The expression systems are developed by cloning in the specific antibody DNA sequences from immunoreactive rabbits. Then, individual clones are screened to select the best candidates for production. The advantages of using recombinant rabbit monoclonal antibodies include: better specificity and sensitivity, lot-to-lot consistency, animal origin-free formulations, and broader immunoreactivity to diverse targets due to larger rabbit immune repertoire.
This gene encodes a member of the family of pyridine nucleotide oxidoreductases. This protein reduces thioredoxins as well as other substrates, and plays a role in selenium metabolism and protection against oxidative stress. The functional enzyme is thought to be a homodimer which uses FAD as a cofactor. Each subunit contains a selenocysteine (Sec) residue which is required for catalytic activity. The selenocysteine is encoded by the UGA codon that normally signals translation termination. The 3' UTR of selenocysteine-containing genes have a common stem-loop structure, the sec insertion sequence (SECIS), that is necessary for the recognition of UGA as a Sec codon rather than as a stop signal. Alternative splicing results in several transcript variants encoding the same or different isoforms.
Specifications
| TrxR1 | |
| Recombinant Monoclonal | |
| 1 mg/mL | |
| TBS with 0.05% BSA, 40% Glycerol and 0.05% sodium azide; pH 7.4 | |
| O89049, Q16881, Q9JMH6 | |
| TXNRD1 | |
| Recombinant protein with Human TXNRD1 aa 1-649. | |
| 100 μL | |
| Primary | |
| Human, Mouse, Rat | |
| Antibody | |
| IgG |
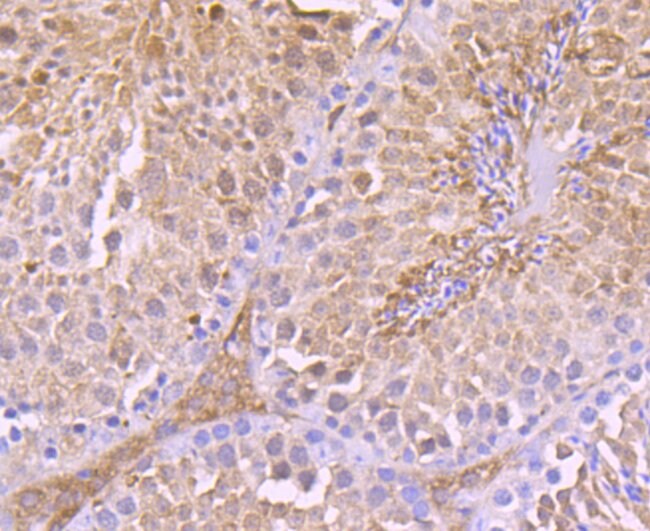
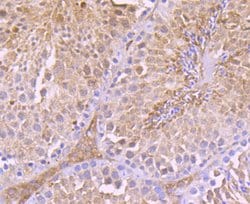
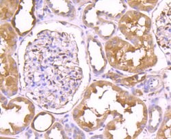
| Flow Cytometry, Immunohistochemistry (Paraffin), Western Blot, Immunocytochemistry, Western Blot | |
| JA11-32 | |
| Unconjugated | |
| TXNRD1 | |
| gene associated with retinoic and IFN-induced mortality 12 protein; gene associated with retinoic and interferon-induced mortality 12 protein; GRIM12; GRIM-12; KDRF; KM-102-derived reductase-like factor; MGC9145; NADPH-dependent thioredoxin reductase; oxidoreductase; selenoprotein oxidoreductase; testis tissue sperm-binding protein Li 46a; thioredoxin reductase 1; thioredoxin reductase 1, cytoplasmic; thioredoxin reductase GRIM-12; thioredoxin reductase TR1; TR; TR alpha; TR1; Trxr1; TXNR; Txnrd1 | |
| Rabbit | |
| Protein A | |
| RUO | |
| 50493, 58819, 7296 | |
| Store at 4°C short term. For long term storage, store at -20°C, avoiding freeze/thaw cycles. | |
| Liquid |
Your input is important to us. Please complete this form to provide feedback related to the content on this product.