missing translation for 'onlineSavingsMsg'
Learn More

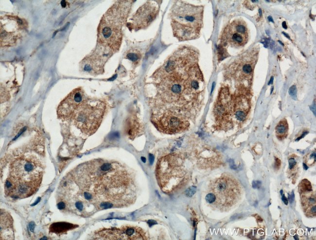
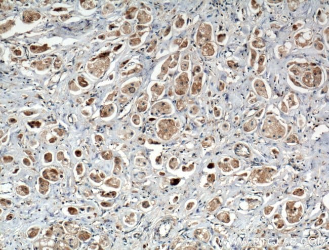
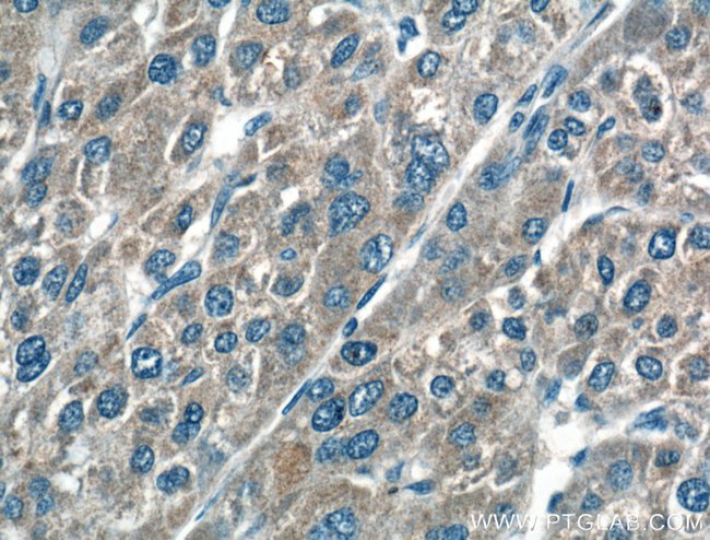
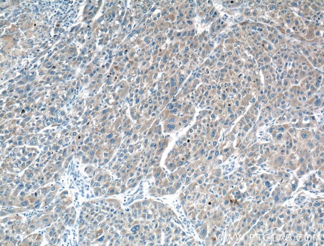
TRIM8 Rabbit anti-Human, Polyclonal, Proteintech

Rabbit Polyclonal Antibody

Brand:  Proteintech 27463-1-AP-150UL

 View more versions of this product

Product Code. 16855635

  • £349.00 / 150µL

Please to purchase this item. Need a web account? Register with us today!

This item is not returnable. View return policy

Description

Description

The protein encoded by this gene is a member of the tripartite motif (TRIM) family. The TRIM motif includes three zinc-binding domains, a RING, a B-box type 1 and a B-box type 2, and a coiled-coil region. This protein localizes to nuclear bodies. Its structure is similar to some tumor suppressor proteins and its gene maps to a locus thought to contain tumor suppressor genes.
Specifications

Specifications

TRIM8
Polyclonal
Unconjugated
TRIM8
GERP, RING finger protein 27, RNF27, TRIM8, tripartite motif containing 8
Rabbit
Antigen Affinity Chromatography
RUO
81603
-20°C
Liquid
Immunohistochemistry (Paraffin), Western Blot
0.3 mg/mL
PBS with 50% glycerol and 0.1% sodium azide; pH 7.3
Q9BZR9
TRIM8
TRIM8 Fusion Protein Ag26517
150 μL
Primary
Human
Antibody
IgG
Product Suggestions

Product Suggestions

Videos
SDS
Documents

Documents

Certificates
Promotions

Promotions

Product Content Correction

Your input is important to us. Please complete this form to provide feedback related to the content on this product.

Product Title

By clicking Submit, you acknowledge that you may be contacted by Fisher Scientific in regards to the feedback you have provided in this form. We will not share your information for any other purposes. All contact information provided shall also be maintained in accordance with our Privacy Policy.

Thank You! Your feedback has been submitted. Fisher Scientific is always working to improve our content for you. We appreciate your feedback.