missing translation for 'onlineSavingsMsg'
Learn More
Learn More
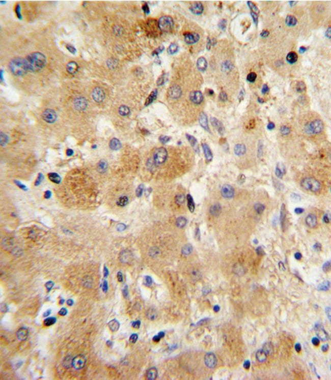
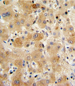
Invitrogen™ Transthyretin Polyclonal Antibody
Rabbit Polyclonal Antibody
Brand: Invitrogen™ PA513657
This item is not returnable.
View return policy
Description
This antibody is predicted to react with bovine based on sequence homology.
Transthyretin (TTR), generally called prealbumin, is a plasma protein that plays an important role in physiology such as a transporter of hormone thyroxine and retinal-binding protein. After produced primarily in the liver, TTR is excreted into the plasma. TTR represents a disproportionate fraction (25%) of CSF protein, prompting the suggestion that it is either selectively transported across the blood-CSF barrier or synthesized de novo within the central nervous system. Transthyretin is a constituent found to the neuritic plaques, neurofibrillary tangles, and microangiopathic lesions of senile cerebral amyloid. It has been reported that more than 40 different mutations in the TTR gene associated with amyloid deposition.
Specifications
| Transthyretin | |
| Polyclonal | |
| Unconjugated | |
| TTR | |
| AA408768; AI787086; Amyloidosis I; ATTR; carpal tunnel syndrome 1; CTS; CTS1; D17860; epididymis luminal protein 111; HEL111; HsT2651; Lr1; PALB; prealbumin; pre-albumin; prealbumin, amyloidosis type I; Tbpa; thyroxine-binding prealbumin; transthyretin; Tt; TTR | |
| Rabbit | |
| Ammonium sulfate precipitation, Size-exclusion - Dialysis | |
| RUO | |
| 7276 | |
| Store at 4°C short term. For long term storage, store at -20°C, avoiding freeze/thaw cycles. | |
| Liquid |
| Flow Cytometry, Immunohistochemistry (Paraffin), Western Blot | |
| 2 mg/mL | |
| PBS with 0.09% sodium azide; pH 7.4 | |
| P02766 | |
| TTR | |
| KLH conjugated synthetic peptide between 47-74 amino acids from the central region of human TTR. | |
| 400 μL | |
| Primary | |
| Human | |
| Antibody | |
| IgG |
Product Content Correction
Your input is important to us. Please complete this form to provide feedback related to the content on this product.
Product Title
Spot an opportunity for improvement?Share a Content Correction