missing translation for 'onlineSavingsMsg'
Learn More

TOP1MT Antibody (TOP1MT/568) - Azide and BSA Free, Novus Biologicals™

Product Code. 18392073 Shop All Bio Techne Products
Change view
Click to view available options
Quantity:
100 μg
Unit Size:
100µg
1 product options available for selection
Product selection table with 1 available options. Use arrow keys to navigate and Enter or Space to select.
Product Code. Quantity unitSize
18392073 100 μg 100µg
Use arrow keys to navigate between rows. Press Enter or Space to select a product option. 1 options available.
1 options
This item is not returnable. View return policy
Product Code. 18392073 Supplier Novus Biologicals Supplier No. NBP308305

Please to purchase this item. Need a web account? Register with us today!

This item is not returnable. View return policy

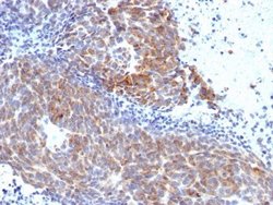
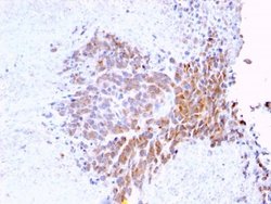
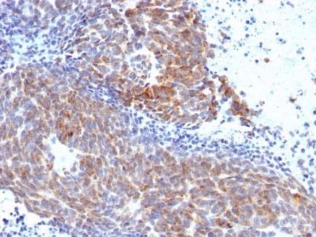
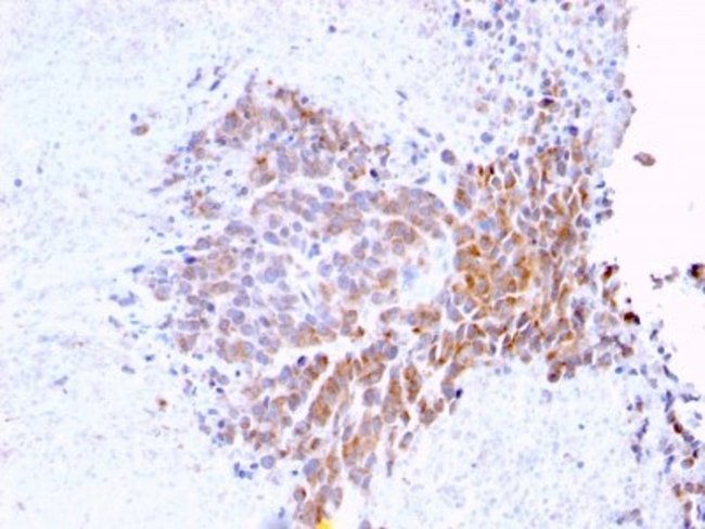
Mouse Monoclonal Antibody

TOP1MT Monoclonal specifically detects TOP1MT in Human samples. It is validated for Immunohistochemistry-Paraffin.
TRUSTED_SUSTAINABILITY

Specifications

Antigen TOP1MT
Applications Immunohistochemistry (Paraffin)
Classification Monoclonal
Clone TOP1MT/568
Concentration 1 mg/mL
Conjugate Unconjugated
Dilution Immunohistochemistry-Paraffin : 1-2 ug/mL
Formulation 10mM PBS
Gene Alias mitochondrial, mitochondrial DNA topoisomerase I, topoisomerase (DNA) I, mitochondrial
Host Species Mouse
Immunogen Recombinant full-length human TOP1MT protein
Purification Method Protein A or G purified
Quantity 100 μg
Regulatory Status RUO
Primary or Secondary Primary
Gene ID (Entrez) 116447
Target Species Human
Content And Storage Store at -20 to -80C. Avoid freeze-thaw cycles.
Form Purified
Isotype IgG1 κ
Show More Show Less
Product Title
Select an issue

By clicking Submit, you acknowledge that you may be contacted by Fisher Scientific in regards to the feedback you have provided in this form. We will not share your information for any other purposes. All contact information provided shall also be maintained in accordance with our Privacy Policy.