missing translation for 'onlineSavingsMsg'
Learn More
Learn More
Invitrogen™ TOLLIP Monoclonal Antibody (OTI2A4)

Mouse Monoclonal Antibody
Brand: Invitrogen™ MA526308
This item is not returnable.
View return policy
Description
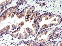
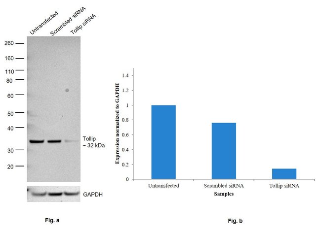
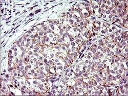
TOLLIP Monoclonal Antibody for Western Blot, ICC/IF, IHC (P)
Toll-like receptors (TLRs) are evolutionarily conserved pattern-recognition molecules resembling the toll proteins that mediate antimicrobial responses in Drosophila. These proteins recognize different microbial products during infection and serve as an important link between the innate and adaptive immune responses. The TLRs act through adaptor molecules to activate various kinases and transcription factors so the organism can respond to potential infection. These adaptor molecules include TOLLIP, MyD88, and TRIF. TOLLIP associates directly with TLR2 and TLR 4, acting as an inhibitor to TLR activation. This negative regulation of TLR signaling may serve to limit the production of proinflammatory mediators during infection and inflammation.
Specifications
| TOLLIP | |
| Monoclonal | |
| 1 mg/mL | |
| PBS with 1% BSA, 50% glycerol and 0.02% sodium azide; pH 7.3 | |
| Q9H0E2 | |
| TOLLIP | |
| Full length human recombinant protein of TOLLIP produced in HEK293T cell. | |
| 100 μL | |
| Primary | |
| Human | |
| Antibody | |
| IgG1 |
| Immunohistochemistry (Paraffin), Western Blot, Immunocytochemistry | |
| OTI2A4 | |
| Unconjugated | |
| TOLLIP | |
| 4930403G24Rik; 4931428G15Rik; adapter protein; EMBL:AAI33068.1}; FLJ33531; IL-1RAcPIP; toll interacting protein; toll-interacting protein; TOLLIP; tollip {ECO:0000312 | |
| Mouse | |
| Affinity chromatography | |
| RUO | |
| 54472 | |
| -20°C, Avoid Freeze/Thaw Cycles | |
| Liquid |
Product Content Correction
Your input is important to us. Please complete this form to provide feedback related to the content on this product.
Product Title
Spot an opportunity for improvement?Share a Content Correction