Learn More
Invitrogen™ TNFR2 Recombinant Rabbit Monoclonal Antibody (JM113-01)

Rabbit Recombinant Monoclonal Antibody
Brand: Invitrogen™ MA532618
Description
Recombinant rabbit monoclonal antibodies are produced using in vitro expression systems. The expression systems are developed by cloning in the specific antibody DNA sequences from immunoreactive rabbits. Then, individual clones are screened to select the best candidates for production. The advantages of using recombinant rabbit monoclonal antibodies include: better specificity and sensitivity, lot-to-lot consistency, animal origin-free formulations, and broader immunoreactivity to diverse targets due to larger rabbit immune repertoire.
TNFR2 (tumor necrosis factor receptor superfamily member 1B) is a receptor with high affinity for TNFSF2/TNF-alpha. It has a much lower affinity for homotrimeric TNFSF1/lymphotoxin-alpha. The TRAF1/TRAF2 complex recruits the apoptotic suppressors BIRC2 and BIRC3 to TNFRSF1B/TNFR2. TNFR2 mediates most of the metabolic effects of TNF-alpha.
Specifications
| TNFR2 | |
| Recombinant Monoclonal | |
| 1 mg/mL | |
| TBS with 0.05% BSA, 40% Glycerol and 0.05% sodium azide; pH 7.4 | |
| P20333, P25119, Q80WY6 | |
| Tnfrsf1b | |
| Synthetic peptide within Human TNF Receptor II aa 426-461. | |
| 100 μL | |
| Primary | |
| Human, Mouse, Rat | |
| Antibody | |
| IgG |
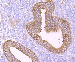
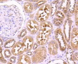
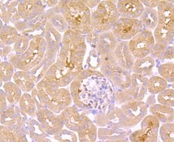
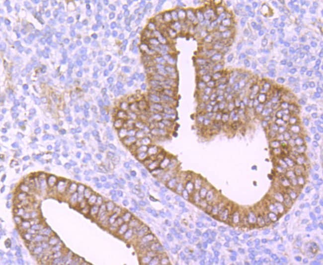
| Flow Cytometry, Immunohistochemistry (Frozen), Immunohistochemistry (Paraffin), Immunoprecipitation, Western Blot, Immunocytochemistry | |
| JM113-01 | |
| Unconjugated | |
| Tnfrsf1b | |
| CD120b; Etanercept; p75; p75 TNF receptor; p75 TNFR; p75TNFR; p80 TNF-alpha receptor; sCD120b; soluble CD120b; soluble TNFR1B variant 1; soluble TNFR2; sTNF R2; sTNFR 2; sTNFR2; TBP-2; TBPII; TNF receptor beta chain; TNF receptor superfamily member 1B; TNF-alphaR2; TNFalpha-R2; TNFBR; TNFR; TNFR II; Tnfr-1; TNFR1B; TNFR2; TNF-R2; Tnfr-2; TNF-R75; TNFR80; TNFRII; TNF-RII; TNF-R-II; TNFR-II; TNFRSF1B; tumor necrosis factor beta receptor; tumor necrosis factor binding protein 2; Tumor necrosis factor receptor; tumor necrosis factor receptor 2; Tumor necrosis factor receptor superfamily member 1B; Tumor necrosis factor receptor superfamily member 1b, membrane form; tumor necrosis factor receptor superfamily, member 1B; tumor necrosis factor receptor type II; Tumor necrosis factor-binding protein 2 | |
| Rabbit | |
| Protein A | |
| RUO | |
| 156767, 21938, 7133 | |
| Store at 4°C short term. For long term storage, store at -20°C, avoiding freeze/thaw cycles. | |
| Liquid |
Your input is important to us. Please complete this form to provide feedback related to the content on this product.