missing translation for 'onlineSavingsMsg'
Learn More

TMEM199 Rabbit anti-Human, Mouse, Polyclonal, Proteintech

Rabbit Polyclonal Antibody

Brand:  Proteintech 25489-1-AP-20UL

 View more versions of this product

Product Code. 16804065

  • £135.00 / 20µL

Please to purchase this item. Need a web account? Register with us today!

This item is not returnable. View return policy

Description

Description

The function of this protein remains unknown.
Specifications

Specifications

TMEM199
Polyclonal
Unconjugated
TMEM199
C17orf32, TMEM199, transmembrane protein 199
Rabbit
Antigen Affinity Chromatography
RUO
147007, 195040
-20°C
Liquid
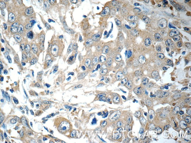
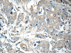
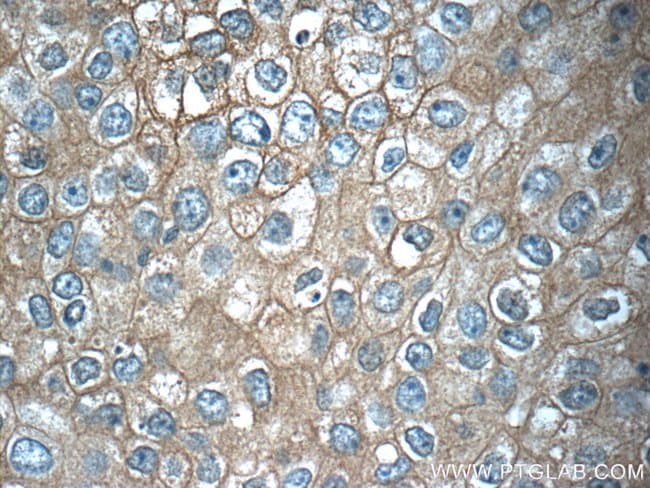
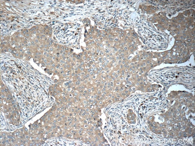
Immunohistochemistry (Paraffin), Western Blot
0.5 mg/mL
PBS with 50% glycerol and 0.1% sodium azide; pH 7.3
Q5SYH2, Q8N511
Tmem199
TMEM199 Fusion Protein Ag22009
20 μL
Primary
Mouse, Human
Antibody
IgG
Product Suggestions

Product Suggestions

Videos
SDS
Documents

Documents

Certificates
Promotions

Promotions

Product Content Correction

Your input is important to us. Please complete this form to provide feedback related to the content on this product.

Product Title

By clicking Submit, you acknowledge that you may be contacted by Fisher Scientific in regards to the feedback you have provided in this form. We will not share your information for any other purposes. All contact information provided shall also be maintained in accordance with our Privacy Policy.

Thank You! Your feedback has been submitted. Fisher Scientific is always working to improve our content for you. We appreciate your feedback.