missing translation for 'onlineSavingsMsg'
Learn More
Learn More
Invitrogen™ TLR7 Monoclonal Antibody (4G6)

Mouse Monoclonal Antibody
Brand: Invitrogen™ MA516247
This item is not returnable.
View return policy
Description
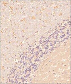
TLR7 Monoclonal Antibody for Western Blot, IHC (P), Flow
TLR7 is a 10 amino acid long highly conserved membrane protein belonging to the Toll-like receptor (TLR) family with 27 LRR (leucine-rich) repeats and a TIR domain. TLR7 plays a fundamental role in pathogen recognition and activation of innate immunity. TLR7 is activated by infections with single-stranded RNA viruses, including influenza virus and vesicular stomatitis virus (VSV). TLR7 is predominantly expressed in lung, placenta, and spleen, and lies in close proximity to another family member, TLR8. TLR7 also acts via MyD88 and TRAF6, leading to NF-kappaB activation, cytokine secretion and the inflammatory response. TLR7 recognize pathogen-associated molecular patterns (PAMPs) that are expressed on infectious agents, and mediate the production of cytokines necessary for the development of effective immunity.
Specifications
| TLR7 | |
| Monoclonal | |
| 1 mg/mL | |
| PBS with 0.02% sodium azide | |
| P58681, Q9NYK1 | |
| TLR7 | |
| A partial human TLR7 recombinant protein (amino acids 562-839). | |
| 100 μg | |
| Primary | |
| Human, Mouse | |
| Antibody | |
| IgG1 κ |
| Flow Cytometry, Immunohistochemistry (Paraffin), Western Blot | |
| 4G6 | |
| Unconjugated | |
| TLR7 | |
| RGD1563357; RP23-139P21.3; Tlr7; TLR7-like; toll like receptor 7; toll-like receptor 7; toll-like receptor 7-like; UNQ248/PRO285 | |
| Mouse | |
| Protein G | |
| RUO | |
| 170743, 51284 | |
| Store at 4°C short term. For long term storage, store at -20°C, avoiding freeze/thaw cycles. | |
| Liquid |
Product Content Correction
Your input is important to us. Please complete this form to provide feedback related to the content on this product.
Product Title
Spot an opportunity for improvement?Share a Content Correction