missing translation for 'onlineSavingsMsg'
Learn More
Learn More
Invitrogen™ TLR5 Polyclonal Antibody

Description
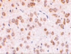
A suggested positive control is rat brain tissue lysate. PA5-20185 can be used with blocking peptide PEP-0315.
TLR5 is a Type I membrane protein belonging to the Toll-like receptor family, participates in the innate immune response to microbial agents. TLR5 also plays a role in mediating detection of bacterial flagellins. TLR5 acts via MyD88 and TRAF6, leading to NF-kappa-B activation, cytokine secretion and the inflammatory response. TLR5 protein binds to TIRAP and MyD88 via their respective TIR domains TLR5 is highly expressed in liver, and is detected in lung and at very low levels in most other tissues. The TLR5 gene lies in a locus that is associated with susceptibility to Salmonella. Inbred strains of mice can be classified into 3 categories according to their resistance to infection with S.typhimurium: susceptible (BALB/c, C57BL/6, C3H/He), intermediate (DBA/2, C75L) and resistant (A, CBA). The strain MOLF/Ei is highly susceptible to the infection, has a unique TLR5 haplotype and a lower expression of TRL5. A common TLR5 stop codon polymorphism that disrupts TLR5 signaling is associated with susceptibility to Legionnaires' disease and demonstrates the importance of TLR5 in the innate immune response.
Specifications
Specifications
| Antigen | TLR5 |
| Applications | Immunohistochemistry, Western Blot |
| Classification | Polyclonal |
| Concentration | 1 mg/mL |
| Conjugate | Unconjugated |
| Formulation | PBS with 0.02% sodium azide |
| Gene | TLR5 |
| Gene Accession No. | O60602, Q9JLF7 |
| Gene Alias | FLJ10052; MELIOS; MGC126430; MGC126431; RP11-239E10.1; SLE1; SLEB1; systemic lupus erythematosus susceptibility 1; TIL3; Tlr5; toll like receptor 5; Toll/interleukin-1 receptor-like protein 3; toll-like receptor 5 |
| Gene Symbols | TLR5 |
| Show More |
Product Title
By clicking Submit, you acknowledge that you may be contacted by Fisher Scientific in regards to the feedback you have provided in this form. We will not share your information for any other purposes. All contact information provided shall also be maintained in accordance with our Privacy Policy.
Spot an opportunity for improvement?