missing translation for 'onlineSavingsMsg'
Learn More
Learn More
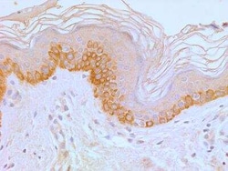
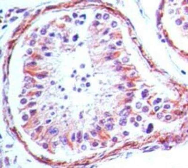
Invitrogen™ TLR4 Monoclonal Antibody (76B357.1)

Mouse Monoclonal Antibody
Brand: Invitrogen™ MA516216
This item is not returnable.
View return policy
Description
Suggested positive control: intestine lysate (WB), ThP1, Ramos (flow).
TLR4 is member of the Toll like receptor (TLR) family which plays a fundamental role in pathogen recognition and activation of innate immunity. TLRs are highly conserved from Drosophila to humans and share structural and functional similarities. This receptor is most abundantly expressed in placenta, and in myelomonocytic subpopulation of the leukocytes. Mammalian cells respond to LPS by activating TLR4. TLR4 belongs to the multi-protein complex of lipopolysaccharide (LPS) receptor, containing CD14, LY96 and TLR4, and is involved in signal transduction events induced by lipopolysaccharide (LPS) found in most gram-negative bacteria. TLR4 aids in the recognition of pathogen-associated molecular patterns (PAMPs) that are expressed on infectious agents, and mediate the production of cytokines necessary for the development of effective immunity. The various TLRs exhibit different patterns of expression. Mutations in the TLR4 gene have been associated with differences in LPS responsiveness. Also, several transcript variants of the TLR4 gene have been found, but the protein coding potential of most of them is uncertain. TLR4 is expressed by peripheral blood monocytes and a small population of B-cells and is also expressed in human placenta. Studies with TLR4-deficient mice indicate that the main ligand for TLR is lipopolysaccharide. Consequently, these mice also showed increased susceptibility to Gram-negative sepsis.
Specifications
| TLR4 | |
| Monoclonal | |
| 1.0 mg/mL | |
| PBS with 0.05% sodium azide | |
| O00206, Q68Y56, Q9GL65, Q9QUK6, Q9QX05 | |
| TLR4 | |
| A portion of amino acids 100-200 of human TLR4. | |
| 100 μg | |
| Primary | |
| Bovine, Human, Mammalia, Mouse, Pig, Rat | |
| Antibody | |
| IgG2b κ |
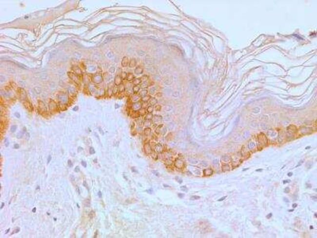
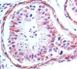
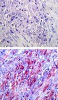
| ChIP Assay, Dot Blot, ELISA, Flow Cytometry, Immunohistochemistry (Frozen), Immunohistochemistry (Paraffin), In Situ Hybridization (ISH), Neutralization, Western Blot, Immunocytochemistry | |
| 76B357.1 | |
| Unconjugated | |
| TLR4 | |
| ARMD10; CD284; EGK_07381; homolog of Drosophila toll; hToll; lipopolysaccharide response; Lps; Ly87; Ran/M1; Rasl2-8; Tlr4; TLR-4; TOLL; toll like receptor 4; toll/interleukin-l receptor (TIR) domain; toll4; toll-like receptor 4; toll-like receptor 4 immunity-related protein; Toll-like receptor 4-like protein; Toll-like receptor4 protein | |
| Mouse | |
| Protein G | |
| RUO | |
| 21898, 281536, 29260, 399541, 7099 | |
| Store at 4°C short term. For long term storage, store at -20°C, avoiding freeze/thaw cycles. | |
| Liquid |
Product Content Correction
Your input is important to us. Please complete this form to provide feedback related to the content on this product.
Product Title
Spot an opportunity for improvement?Share a Content Correction