missing translation for 'onlineSavingsMsg'
Learn More
Learn More
Invitrogen™ Thioredoxin 2 Recombinant Rabbit Monoclonal Antibody (JE35-76)

Rabbit Recombinant Monoclonal Antibody
Brand: Invitrogen™ MA556538
This item is not returnable.
View return policy
Description
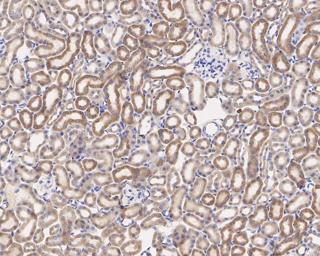
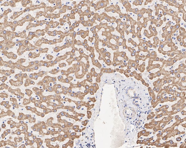
Thioredoxin 2 Recombinant Monoclonal Antibody for Western Blot, ICC/IF, IHC (P)
Thioredoxins (Trx) are small, multi-functional proteins with oxidoreductase activity and are ubiquitous in essentially all living cells. Trx contains a redox-active disulfide/dithiol group within the conserved Cys-Gly-Pro-Cys active site. The two cystein residues in the conserved active centers can be oxidized to form intramolecular disulfide bonds. Reduction of the active site disulfide in oxidized Trx is catalyzed by Trx reductase with NADPH as the electron donor. The reduced Trx is a hydrogen donor for ribonucleotide reductase, the essential enzyme for DNA synthesis, and a potent general protein disulfide reductase with numerous functions in growth and redox regulations. Specific protein disulfide targets for reduction by Trx include protein disulfide-isomerase (PDI) and a number of transcription factors such as p53, NF-kB and AP-1 (T1-151). Trx is also capable of removing H2O2, particularly when it is coupled with either methionine sulfoxide reductase or several isoforms of peroxiredoxins.
Specifications
| Thioredoxin 2 | |
| Recombinant Monoclonal | |
| 1 mg/mL | |
| TBS with 0.05% BSA, 40% glycerol and 0.05% sodium azide; pH 7.4 | |
| P97493, P97615, Q99757 | |
| TXN2 | |
| Recombinant protein within human thioredoxin 2 aa 67-166/166. | |
| 100 μL | |
| Primary | |
| Human, Mouse, Rat | |
| Antibody | |
| IgG |
| Immunohistochemistry (Paraffin), Western Blot, Immunocytochemistry | |
| JE35-76 | |
| Unconjugated | |
| TXN2 | |
| 2510006J11Rik; AI788873; COXPD29; G7746; hypothetical protein LOC402938; LMA1; mitochondrial thioredoxin; MTRX; mt-Trx; thioredoxin 2; Thioredoxin II; thioredoxin nuclear gene encoding mitochondrial protein; thioredoxin TRX2; thioredoxin, mitochondrial; Thioredoxin-1; Thioredoxin2; Thioredoxin-2; TR-II; TRX1; Trx2; TRX-2; Txn2; YGR209C; zgc:77127 | |
| Rabbit | |
| Protein A | |
| RUO | |
| 25828, 56551, 79462 | |
| Store at 4°C short term. For long term storage, store at -20°C, avoiding freeze/thaw cycles. | |
| Liquid |
Product Content Correction
Your input is important to us. Please complete this form to provide feedback related to the content on this product.
Product Title
Spot an opportunity for improvement?Share a Content Correction