missing translation for 'onlineSavingsMsg'
Learn More
Learn More
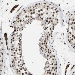
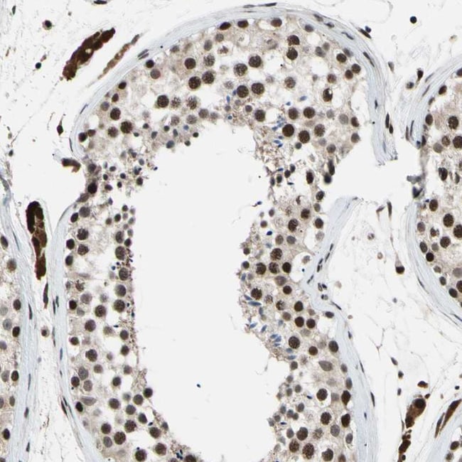
Invitrogen™ THAP12 Polyclonal Antibody

Rabbit Polyclonal Antibody
Brand: Invitrogen™ PA552604
This item is not returnable.
View return policy
Description
Immunogen sequence: NPHSRHRKRI KELSEDEIRT LKQKKIDETS EQEQKHKETN NSNAQNPSEE EGEGQDEDIL PLTLEEKENK EYLKSLFEIL ILMGKQNIPL DGHEADEIPE GLFTPDNFQA LLECRINSGE EVLRKRFE Highest antigen sequence identity to the following orthologs: Mouse - 85%, Rat - 88%.
Upstream regulator of interferon-induced serine/threonine protein kinase R (PKR). May block the PKR-inhibitory function of DNAJC3, resulting in restoration of kinase activity and suppression of cell growth.
Specifications
| THAP12 | |
| Polyclonal | |
| Unconjugated | |
| THAP12 | |
| 2900052B10Rik; 52 kDa repressor of the inhibitor of the protein kinase; 58 kDa interferon-induced protein kinase-interacting protein; DAP4; death-associated protein 4; inhibitor of protein kinase PKR; interferon-inducible, double stranded RNA dependent inhibitor, protein-kinase; P52rIPK; p58IPK-interacting protein; P58IPK-regulatory protein; PRKRIR; protein-kinase, interferon-inducible double stranded RNA dependent inhibitor, repressor of (P58 repressor); Rpkrir; testicular tissue protein Li 133; THAP domain containing 12; THAP domain-containing protein 0; THAP domain-containing protein 12; THAP0; THAP12 | |
| Rabbit | |
| Antigen affinity chromatography | |
| RUO | |
| 308845, 5612, 72981 | |
| Store at 4°C short term. For long term storage, store at -20°C, avoiding freeze/thaw cycles. | |
| Liquid |
| Immunohistochemistry (Paraffin), Western Blot, Immunocytochemistry | |
| 0.2 mg/mL | |
| PBS with 40% glycerol and 0.02% sodium azide; pH 7.2 | |
| O43422, Q9CUX1 | |
| THAP12 | |
| Recombinant protein corresponding to Human THAP12. Recombinant protein control fragment (Product #RP-89877). | |
| 100 μL | |
| Primary | |
| Human, Mouse, Rat | |
| Antibody | |
| IgG |
Product Content Correction
Your input is important to us. Please complete this form to provide feedback related to the content on this product.
Product Title
Spot an opportunity for improvement?Share a Content Correction