missing translation for 'onlineSavingsMsg'
Learn More
Learn More
Invitrogen™ TGM7 Polyclonal Antibody

Rabbit Polyclonal Antibody
Brand: Invitrogen™ PA551263
This item is not returnable.
View return policy
Description
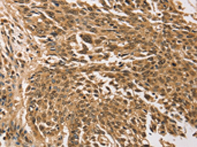
The antibody detects endogenous levels of total Transglutaminase 7 / TGM7 protein.
Transglutaminases (TGM; EC 2.3.2.13) are a family of structurally and functionally related enzymes that stabilize protein assemblies through the formation of gamma-glutamyl-epsilon lysine crosslinks. For additional background information on transglutaminases, see TGM1 (MIM 190195).
Specifications
| TGM7 | |
| Polyclonal | |
| Unconjugated | |
| TGM7 | |
| LOC102552199; Protein-glutamine gamma-glutamyltransferase Z; protein-glutamine gamma-glutamyltransferase Z-like; TG(Z); TGase Z; TGase-7; TGM7; TGMZ; TGMZEC 2.3.2.13; TGz; transglutaminase 7; transglutaminase Z; Transglutaminase-7 | |
| Rabbit | |
| Antigen affinity chromatography | |
| RUO | |
| 116179 | |
| -20°C | |
| Liquid |
| Immunohistochemistry (Paraffin) | |
| 1.9 mg/mL | |
| PBS with 40% glycerol and 0.05% sodium azide; pH 7.4 | |
| Q96PF1 | |
| TGM7 | |
| Synthetic peptide of human TGM7. | |
| 100 μL | |
| Primary | |
| Human | |
| Antibody | |
| IgG |
Product Content Correction
Your input is important to us. Please complete this form to provide feedback related to the content on this product.
Product Title
Spot an opportunity for improvement?Share a Content Correction