missing translation for 'onlineSavingsMsg'
Learn More

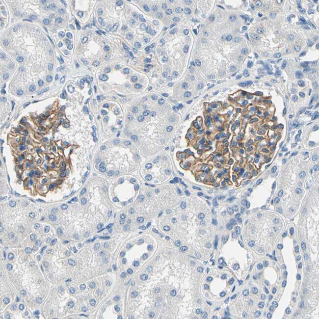
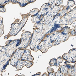
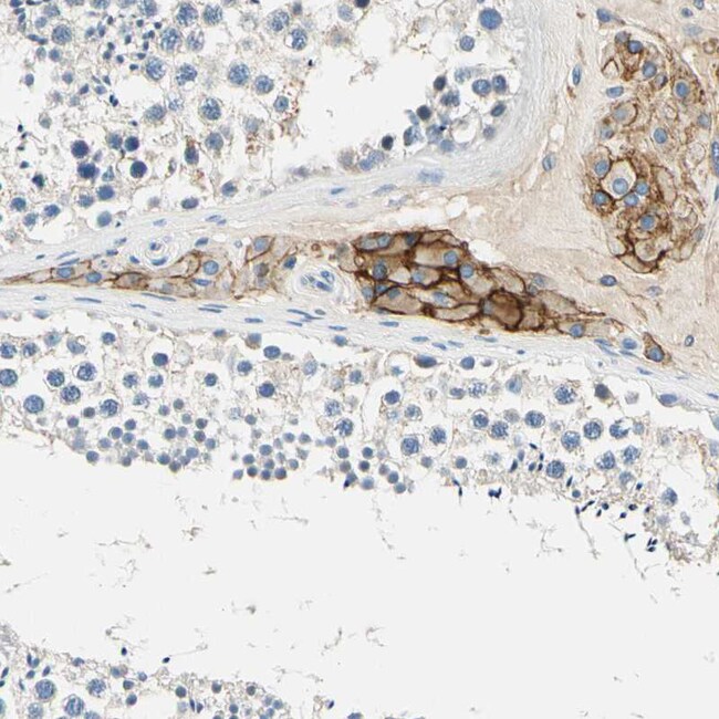
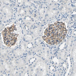
Invitrogen™ TGFBR3 Polyclonal Antibody

Rabbit Polyclonal Antibody

Brand:  Invitrogen™ PA582343

Product Code. 16369304

  • £477.00 / 100µL

Please to purchase this item. Need a web account? Register with us today!

This item is not returnable. View return policy

Description

Description

Immunogen sequence: GYSGMDVTLL DPTCKAKMNG THFVLESPLN GCGTRPRWSA LDGVVYYNSI VIQVPALGDS SGWPDGYEDL ESGDNGFPGD MDEGDASLFT RPEIVVFNCS LQQVRNPSSF QEQPHGNITF NMELYNTDLF Highest antigen sequence indentity to the following orthologs: Rat - 78%, Mouse - 78%.

This locus encodes the transforming growth factor (TGF)-beta type III receptor. The encoded receptor is a membrane proteoglycan that often functions as a co-receptor with other TGF-beta receptor superfamily members. Ectodomain shedding produces soluble TGFBR3, which may inhibit TGFB signaling. Decreased expression of this receptor has been observed in various cancers. Alternatively spliced transcript variants encoding different isoforms have been identified for this gene.
TRUSTED_SUSTAINABILITY
Specifications

Specifications

TGFBR3
Polyclonal
Unconjugated
TGFBR3
1110036H20Rik; AU015626; AW215636; betaglycan; betaglycan proteoglycan; BGCAN; OTTHUMP00000011787; TBRIII; tgf beta receptor 3; TGF-beta receptor type 3; TGF-beta receptor type III; Tgfbr3; TGFR-3; transforming growth factor beta receptor 3; transforming growth factor beta receptor III; Transforming growth factor beta receptor type 3; transforming growth factor, beta receptor 3; transforming growth factor, beta receptor III
Rabbit
Antigen affinity chromatography
RUO
7049
Store at 4°C short term. For long term storage, store at -20°C, avoiding freeze/thaw cycles.
Liquid
Immunohistochemistry (Paraffin)
0.1 mg/mL
PBS with 40% glycerol and 0.02% sodium azide; pH 7.2
Q03167
TGFBR3
Recombinant protein corresponding to Human TGFBR3. Recombinant protein control fragment (Product #RP-88952).
100 μL
Primary
Human
Antibody
IgG
Product Suggestions

Product Suggestions

Videos
SDS
Documents

Documents

Certificates
Promotions

Promotions

Product Content Correction

Your input is important to us. Please complete this form to provide feedback related to the content on this product.

Product Title

By clicking Submit, you acknowledge that you may be contacted by Fisher Scientific in regards to the feedback you have provided in this form. We will not share your information for any other purposes. All contact information provided shall also be maintained in accordance with our Privacy Policy.

Thank You! Your feedback has been submitted. Fisher Scientific is always working to improve our content for you. We appreciate your feedback.