missing translation for 'onlineSavingsMsg'
Learn More
Learn More
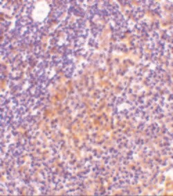
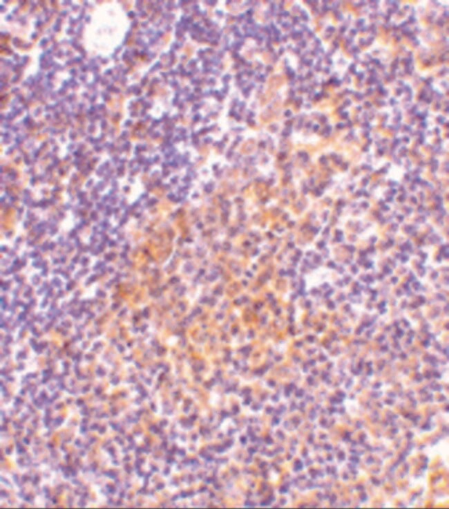
Invitrogen™ TANK Polyclonal Antibody

Description
A suggested positive control is Daudi cell lysate. PA5-20270 can be used with blocking peptide PEP-0385.
TANK was initially identified as a novel TRAF-interacting protein that regulated TRAF-mediated signal transduction. Specifically, ligand binding by surface receptors in the tumor necrosis factor (TNF) receptor and Toll/interleukin-1 (IL-1) receptor families lead to the formation of a TRAF/TANK complex that mediates the activation of the transcription factor NF-kappa-B. This activation of NF-kappa-B occurs through an association with the kinases IKK-iota and TBK1. More recently, it was shown that these proteins can then form a complex with NEMO, a protein that regulates the activity of the Ikappa-B complex. This suggests that in addition to the possibility that TBK1 and IKK-iota activate the IKKs, the association with the IKK complex may help these kinases modulate other functions, such as the transactivation potential of NF-kappa-B proteins. At least two isoforms of TANK are known to exist.
Specifications
Specifications
| Antigen | TANK |
| Applications | Immunohistochemistry, Western Blot, Immunocytochemistry |
| Classification | Polyclonal |
| Concentration | 1 mg/mL |
| Conjugate | Unconjugated |
| Formulation | PBS with 0.02% sodium azide |
| Gene | Tank |
| Gene Accession No. | P70347, Q92844 |
| Gene Alias | C86182; E430026L09Rik; ITRAF; I-TRAF; LOW QUALITY PROTEIN: TRAF family member-associated NF-kappa-B activator; OTTHUMP00000200694; OTTHUMP00000200695; OTTHUMP00000200696; OTTHUMP00000200698; OTTHUMP00000200700; OTTHUMP00000200703; OTTHUMP00000200704; TANK; TANK-like protein; TRAF family member associated NFKB activator; TRAF family member-associated Nf-kappa B activator; TRAF family member-associated NF-kappa-B activator; TRAF family member-associated NFKB activator; TRAF interacting protein TANK; TRAF2; TRAF-interacting protein; zgc:153048 |
| Gene Symbols | Tank |
| Show More |
Product Title
By clicking Submit, you acknowledge that you may be contacted by Fisher Scientific in regards to the feedback you have provided in this form. We will not share your information for any other purposes. All contact information provided shall also be maintained in accordance with our Privacy Policy.
Spot an opportunity for improvement?