missing translation for 'onlineSavingsMsg'
Learn More
Learn More
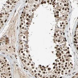
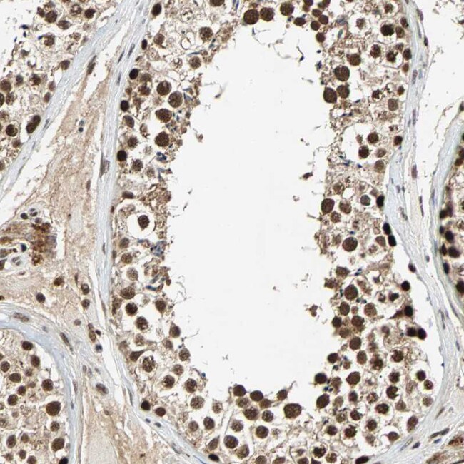
Invitrogen™ TAF5 Polyclonal Antibody

Rabbit Polyclonal Antibody
Brand: Invitrogen™ PA552266
This item is not returnable.
View return policy
Description
Immunogen sequence: TVVSGSASGP AAPGKVGSVA VEDQPDVSAV LSAYNQQGDP TMYEEYYSGL KHFIECSLDC HRAELSQLFY PLFVHMYLEL VYNQHENEAK SFFEKFHGDQ ECYYQDDLRV LSSLTKKEHM KGNETMLDF Highest antigen sequence identity to the following orthologs: Mouse - 98%, Rat - 97%.
TFIID is a general transcription factor which initiates preinitiation complex assembly through direct interaction with the TATA promoter element. It is a multisubunit complex consisting of a small TATA-binding polypeptide andother TATA-binding protein (TBP)-associated factors (TAFs). Although native TFIID can mediate both activator-independent (basal) and activator-dependent transcription in reconstituted systems, TBP can mediate only basal transcription. TAF II p100 (TBP-associated factor II100), also known as TAF5 or TAFII100, is the third largest subunit of human TFIID. It contains six WD40 repeats at the C-terminus and has an N-terminus capable of forming a flexible dimer. TAF II p100 plays an important role in forming the scaffold that is crucial for the assembly of the TFIID complex. TAF II p100 may also be involved in the stabilization of TAF interactions.
Specifications
| TAF5 | |
| Polyclonal | |
| Unconjugated | |
| TAF5 | |
| 6330528C20Rik; AV117817; TAF(II)100; TAF2D; TAF5; TAF5 RNA polymerase II, TATA box binding protein (TBP)-associated factor; TAF5 RNA polymerase II, TATA box binding protein (TBP)-associated factor, 100kDa; TAFII100; TAFII-100; TATA box binding protein (TBP)-associated factor 2D; TATA box binding protein (TBP)-associated factor, RNA polymerase II, D, 100kD; TATA box binding protein associated factor 5; TATA-box binding protein associated factor 5; Tbp-associated factor 5; transcription initiation factor TFIID 100 kD subunit; transcription initiation factor TFIID 100 kDa subunit; Transcription initiation factor TFIID subunit 5 | |
| Rabbit | |
| Antigen affinity chromatography | |
| RUO | |
| 6877 | |
| Store at 4°C short term. For long term storage, store at -20°C, avoiding freeze/thaw cycles. | |
| Liquid |
| Immunohistochemistry (Paraffin), Western Blot | |
| 0.1 mg/mL | |
| PBS with 40% glycerol and 0.02% sodium azide; pH 7.2 | |
| Q15542 | |
| TAF5 | |
| Recombinant protein corresponding to Human TAF5. Recombinant protein control fragment (Product #RP-89362). | |
| 100 μL | |
| Primary | |
| Human | |
| Antibody | |
| IgG |
Product Content Correction
Your input is important to us. Please complete this form to provide feedback related to the content on this product.
Product Title
Spot an opportunity for improvement?Share a Content Correction