missing translation for 'onlineSavingsMsg'
Learn More
Learn More
Invitrogen™ TAF3 Recombinant Rabbit Monoclonal Antibody (JE64-97)

Rabbit Recombinant Monoclonal Antibody
Brand: Invitrogen™ MA544701
This item is not returnable.
View return policy
Description
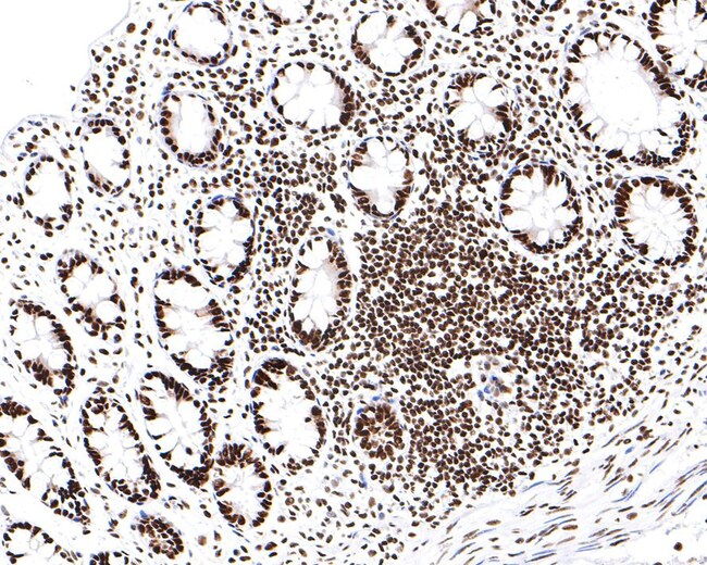
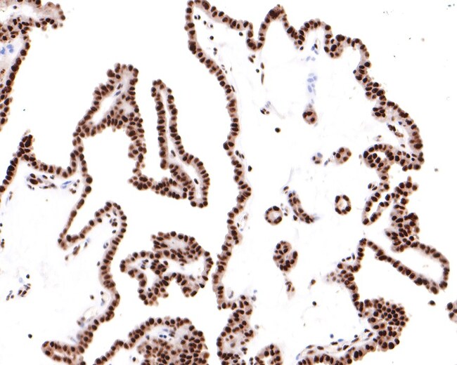
TAF3 Recombinant Monoclonal Antibody for ICC/IF, IHC (P), Western Blot
Transcription factor TFIID is one of the general factors required for accurate and regulated initiation by RNA polymerase II. TFIID is a multimeric protein complex that plays a central role in mediating promoter responses to various activators and repressors. Required in complex with TBPL2 for the differentiation of myoblasts into myocytes. The complex replaces TFIID at specific promoters at an early stage in the differentiation process. Belongs to the TFIID complex which is composed of TATA binding protein (TBP) and a number of TBP-associated factors (TAFs). Interacts with TAF10 via the histone fold. Interacts with TAF13, TBP, SAP130 and GCN5L2. Interacts with TBPL2.
Specifications
| TAF3 | |
| Recombinant Monoclonal | |
| 1 mg/mL | |
| TBS with 0.05% BSA, 40% glycerol and 0.05% sodium azide; pH 7.4 | |
| Q5VWG9 | |
| TAF3 | |
| Recombinant protein within human TAF3 aa 201-400/929. | |
| 100 μL | |
| Primary | |
| Human | |
| Antibody | |
| IgG |
| Immunohistochemistry (Paraffin), Western Blot, Immunocytochemistry | |
| JE64-97 | |
| Unconjugated | |
| TAF3 | |
| 140 kDa TATA box-binding protein-associated factor; 140kDa; 4933439M23Rik; AW539625; fi76b06; MGC25063; mTAFII140; RNA polymerase II transcription factor TAFII140; RNA polymerase II transcription factor, TFIID subunit; TAF(II)140; TAF140; Taf3; TAF3 RNA polymerase II, TATA box binding protein (TBP)-associated facto; TAF3 RNA polymerase II, TATA box binding protein (TBP)-associated factor; TAF3 RNA polymerase II, TATA box binding protein (TBP)-associated factor, 140kDa; TAFII140; TAFII-140; TATA box binding protein associated factor 3; TATA-box binding protein associated factor 3; TBP-associated factor 3; Transcription initiation factor TFIID 140 kDa subunit; transcription initiation factor TFIID subunit 3; Unknown (protein for IMAGE:7281647); wu:fi76b06; zgc:136280 | |
| Rabbit | |
| Protein A | |
| RUO | |
| 83860 | |
| Store at 4°C short term. For long term storage, store at -20°C, avoiding freeze/thaw cycles. | |
| Liquid |
Product Content Correction
Your input is important to us. Please complete this form to provide feedback related to the content on this product.
Product Title
Spot an opportunity for improvement?Share a Content Correction