Learn More
Invitrogen™ SYT16 Polyclonal Antibody

Rabbit Polyclonal Antibody
Brand: Invitrogen™ PA552072
Description
Immunogen sequence: TRERMMGEKL FYLSHLHPEG EMKVTLVLEP RSNISSGGSP LSPSAVSHSD STSSTQSLSH GGAPELLVGL SYNATTGRLS VEMIKGSHFR NLAVNRAPDT YGKLFLLNSV GQEMSRCKTS IRRGQPNPVY KETFVFQVAL FQLSDVTLM Highest antigen sequence identity to the following orthologs: Mouse - 95%, Rat - 95%.
SYT16 is a protein coding gene. May be involved in the trafficking and exocytosis of secretory vesicles in non-neuronal tissues. Is Ca(2+)-independent.
Specifications
| SYT16 | |
| Polyclonal | |
| Unconjugated | |
| SYT16 | |
| chr14 synaptotagmin; CHR14SYT; CTD-2277K2.1; STREP14; Synaptotagmin 14-like protein; synaptotagmin 16; synaptotagmin XIV-related protein; synaptotagmin XVI; synaptotagmin-16; SYT14L; syt14r; SYT16; yt14r | |
| Rabbit | |
| Antigen Affinity Chromatography | |
| RUO | |
| 83851 | |
| Store at 4°C short term. For long term storage, store at -20°C, avoiding freeze/thaw cycles. | |
| Liquid |
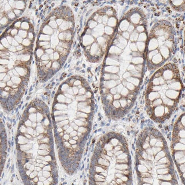
| Immunohistochemistry (Paraffin), Western Blot | |
| 0.05 mg/mL | |
| PBS with 40% glycerol and 0.02% sodium azide; pH 7.2 | |
| Q17RD7 | |
| SYT16 | |
| Recombinant protein corresponding to Human SYT16. Recombinant protein control fragment (Product #RP-88932). | |
| 100 μL | |
| Primary | |
| Human | |
| Antibody | |
| IgG |
Your input is important to us. Please complete this form to provide feedback related to the content on this product.