missing translation for 'onlineSavingsMsg'
Learn More

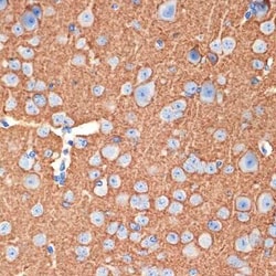
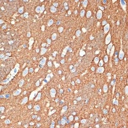
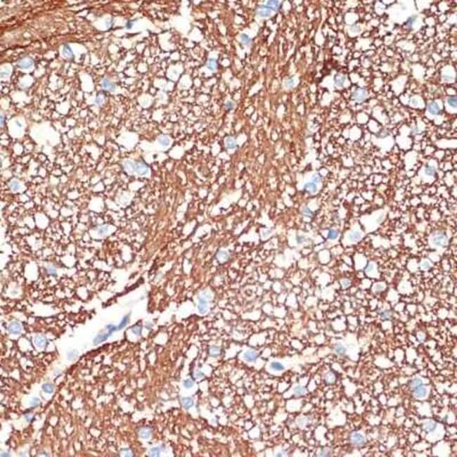
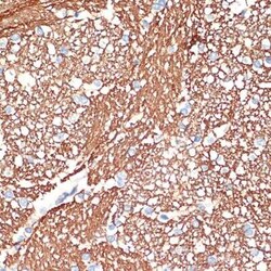
Syntaxin Rabbit anti-Human, Mouse, Rat, Clone: 7D9V8, Novus Biologicals™

Product Code. 18394236 Shop All Bio Techne Products
Change view
Click to view available options
Quantity:
100 μg
20 μg
Unit Size:
100µL
20µL
2 product options available for selection
Product selection table with 2 available options. Use arrow keys to navigate and Enter or Space to select.
Product Code. Quantity unitSize
18394236 20 μg 20µL
18301616 100 μg 100µL
Use arrow keys to navigate between rows. Press Enter or Space to select a product option. 2 options available.
2 options
This item is not returnable. View return policy
Product Code. 18394236 Supplier Novus Biologicals Supplier No. NBP31593420UL

Please to purchase this item. Need a web account? Register with us today!

This item is not returnable. View return policy

Rabbit Monoclonal Antibody

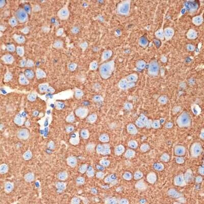
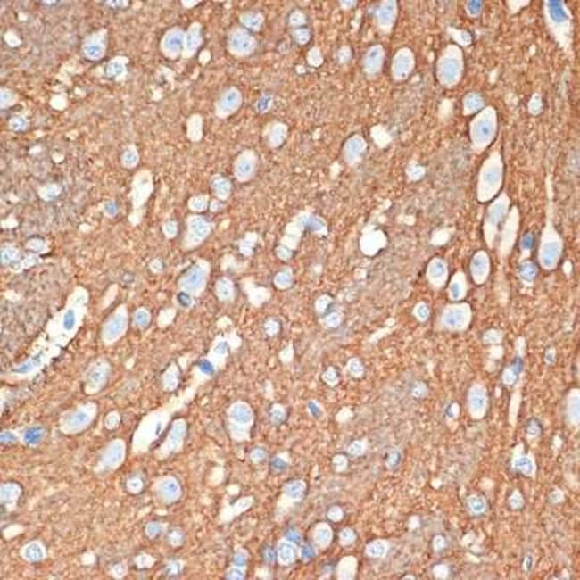
Syntaxin Monoclonal antibody specifically detects Syntaxin in Human, Mouse, Rat samples. It is validated for Western Blot, Western Blot, Immunohistochemistry, Immunofluorescence, Immunohistochemistry (Paraffin)
TRUSTED_SUSTAINABILITY

Specifications

Antigen Syntaxin
Applications Western Blot, Immunohistochemistry, Immunofluorescence, Immunohistochemistry (Paraffin)
Classification Monoclonal
Clone 7D9V8
Conjugate Unconjugated
Dilution Western Blot, Simple Western 1:20, Immunohistochemistry 1:50 - 1:200, Immunocytochemistry/Immunofluorescence, Immunohistochemistry-Paraffin 1:10-1:20
Formulation PBS, 0.05% BSA, 50% glycerol, pH7.3
Host Species Rabbit
Immunogen A synthetic peptide corresponding to a sequence within amino acids 1-100 of human Syntaxin (P61266).
Purification Method Affinity purified
Quantity 20 μg
Regulatory Status RUO
Research Discipline Neurodegeneration
Primary or Secondary Primary
Target Species Human, Mouse, Rat
Content And Storage Store at -20°C. Avoid freeze-thaw cycles.
Form Purified
Isotype IgG
Show More Show Less
Product Title
Select an issue

By clicking Submit, you acknowledge that you may be contacted by Fisher Scientific in regards to the feedback you have provided in this form. We will not share your information for any other purposes. All contact information provided shall also be maintained in accordance with our Privacy Policy.