missing translation for 'onlineSavingsMsg'
Learn More

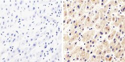
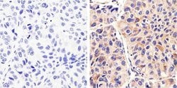
Invitrogen™ Syndecan 2 Recombinant Superclonal™ Antibody (2HCLC)

Rabbit Recombinant Superclonal Antibody

Brand:  Invitrogen™ 710183

Product Code. 15327234

  • £435.00 / 100µg

Please to purchase this item. Need a web account? Register with us today!

This item is not returnable. View return policy

Description

Description

Recombinant rabbit Superclonal™ antibodies are unique offerings from Thermo Fisher Scientific. They are comprised of a selection of multiple different recombinant monoclonal antibodies, providing the best of both worlds - the sensitivity of polyclonal antibodies with the specificity of monoclonal antibodies - all delivered with the consistency only found in a recombinant antibody. While functionally the same as a polyclonal antibody - recognizing multiple epitope sites on the target and producing higher detection sensitivity for low abundance targets - a recombinant rabbit Superclonal™ antibody has a known mixture of light and heavy chains. The exact population can be produced in every lot, circumventing the biological variability typically associated with polyclonal antibody production. Note: Formerly called 'Recombinant polyclonal antibody', this product is now rebranded as 'Recombinant Superclonal™ antibody'. The physical product and the performance remain unchanged.

Syndecans are heparan sulfate proteoglycans (HSPGs) that are involved in cell adhesion, tissue morphogenesis, differentiation, and act as low affinity co-receptors of soluble growth factors. It is involved in the mitogenic activity and signaling of Granulocyte-Macrophage Colony-stimulating factor in osteoblasts, and has been shown to have a regulatory role in matrix assembly. Syndecan-2 is expressed at epithelial-mesenchymal interfaces, and prechondrogenic and preosteogenic mesenchymal condensations, which are areas of high morphogenetic activity.
TRUSTED_SUSTAINABILITY
Specifications

Specifications

Syndecan 2
Recombinant Superclonal
0.5 mg/mL
PBS with 0.09% sodium azide
P34741
SDC2
Peptide corresponding to amino acids 95 - 105 of human Syndecan-2.
100 μg
Primary
Human
Antibody
IgG
Immunohistochemistry (Paraffin), Western Blot, Immunocytochemistry
2HCLC
Unconjugated
SDC2
4833414L08Rik; AA960457; CD362; cell surface-associated heparan sulfate proteoglycan 1; fibroglycan; heparan sulfate proteoglycan 1, cell surface-associated; heparan sulfate proteoglycan 1, cell surface-associated (fibroglycan); heparan sulfate proteoglycan core protein; HSPG; Hspg1; Ryudocan/syndecan 2; Sdc2; SYND2; syndecan 2; syndecan proteoglycan 2; syndecan-2
Rabbit
Protein A
RUO
6383
Store at 4°C short term. For long term storage, store at -20°C, avoiding freeze/thaw cycles.
Liquid
Product Suggestions

Product Suggestions

Videos
SDS
Documents

Documents

Certificates
Promotions

Promotions

Product Content Correction

Your input is important to us. Please complete this form to provide feedback related to the content on this product.

Product Title

By clicking Submit, you acknowledge that you may be contacted by Fisher Scientific in regards to the feedback you have provided in this form. We will not share your information for any other purposes. All contact information provided shall also be maintained in accordance with our Privacy Policy.

Thank You! Your feedback has been submitted. Fisher Scientific is always working to improve our content for you. We appreciate your feedback.