missing translation for 'onlineSavingsMsg'
Learn More
Learn More
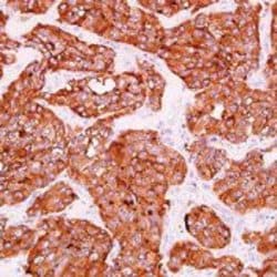
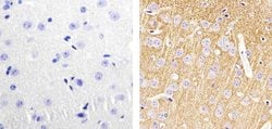
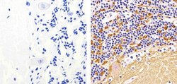
Invitrogen™ Synaptophysin Monoclonal Antibody (SP11)

Rabbit Monoclonal Antibody
Brand: Invitrogen™ MA514532
This item is not returnable.
View return policy
Description
MA5-14532 targets Synaptophysin in IHC (P) and WB applications and shows reactivity with Human samples. The MA5-14532 immunogen is a synthetic peptide of human synaptophysin.
Synaptophysin is a calcium-binding and integral membrane glycoprotein present in presynaptic vesicles in almost all neurons. Synaptophysin has four transmembrane domains and it forms a complex with dynamin at high calcium concentrations suggesting an involvement in synaptic vesicle endocytosis. It is also involved in the regulation of short-term and long-term synaptic plasticity. Synaptophysin is currently the most widely used marker for nerve terminals and for differentiating neuroendocrine tumors. Mutations in the gene can result in mental retardation, X-linked 96.
Specifications
| Synaptophysin | |
| Monoclonal | |
| Conc. Not Determined | |
| Tissue culture supernatant, TBS with 1% BSA and 0.1% sodium azide; pH 7.5 | |
| P07825, P08247, Q62277 | |
| Syp | |
| A synthetic peptide of human synaptophysin (aa 250-313). | |
| RUO | |
| 20977, 24804, 6855 | |
| Store at 4°C short term. For long term storage, store at -20°C, avoiding freeze/thaw cycles. | |
| Liquid |
| Immunohistochemistry (Paraffin), Western Blot, Immunocytochemistry | |
| SP11 | |
| Unconjugated | |
| Syp | |
| A230093K24Rik; AI848995; BM89 antigen; I79_012252; Major synaptic vesicle protein p38; MRX96; MRXSYP; p38; Syn; Synaptophysin; Syp; Syp I; Syp1 | |
| Rabbit | |
| 500 μL | |
| Primary | |
| Human, Mouse, Rat | |
| Antibody | |
| IgG |
Product Content Correction
Your input is important to us. Please complete this form to provide feedback related to the content on this product.
Product Title
Spot an opportunity for improvement?Share a Content Correction