missing translation for 'onlineSavingsMsg'
Learn More
Learn More
Invitrogen™ STS1 Polyclonal Antibody

Rabbit Polyclonal Antibody
Brand: Invitrogen™ PA5115980
This item is not returnable.
View return policy
Description
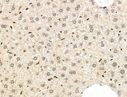
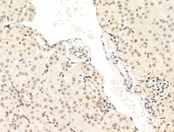
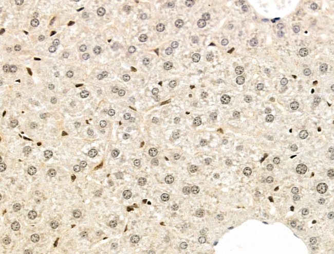
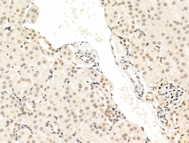
Antibody detects endogenous levels of total Sts1.
Sts1 encodes a protein that contains a ubiquitin associated domain at the N-terminus, an SH3 domain, and a C-terminal domain with similarities to the catalytic motif of phosphoglycerate mutase. The encoded protein was found to inhibit endocytosis of epidermal growth factor receptor (EGFR) and platelet-derived growth factor receptor.
Specifications
| STS1 | |
| Polyclonal | |
| Unconjugated | |
| UBASH3B | |
| 2810457I06Rik; BB125008; Cbl-interacting protein p70; Cbl-interacting protein Sts-1; KIAA1959; MGC15437; nm23-phosphorylated unknown substrate; p70; RGD1310357; SH3 domain-containing 70 kDa protein, suppressor of T-cell receptor signaling 1, nm23-phosphorylated unknown substrate; STS1; STS-1; suppressor of T-cell receptor signaling 1; T-cell ubiquitin ligand 2; TULA2; TULA-2; tyrosine-protein phosphatase STS1/TULA2; UBASH3B; ubiquitin associated and SH3 domain containing B; ubiquitin associated and SH3 domain containing, B; ubiquitin-associated and SH3 domain-containing protein B | |
| Rabbit | |
| Affinity chromatography | |
| RUO | |
| 315579, 72828, 84959 | |
| -20°C | |
| Liquid |
| Immunohistochemistry (Paraffin), Western Blot, Immunocytochemistry | |
| 1 mg/mL | |
| PBS with 50% glycerol and 0.02% sodium azide | |
| Q8BGG7, Q8TF42 | |
| UBASH3B | |
| A synthesized peptide derived from human UBASH3B(Accession Q8TF42), corresponding to amino acid residues D409-S459. | |
| 100 μL | |
| Primary | |
| Human, Mouse, Rat | |
| Antibody | |
| IgG |
Product Content Correction
Your input is important to us. Please complete this form to provide feedback related to the content on this product.
Product Title
Spot an opportunity for improvement?Share a Content Correction