missing translation for 'onlineSavingsMsg'
Learn More
Learn More
Invitrogen™ MSH3 Polyclonal Antibody

Rabbit Polyclonal Antibody
Brand: Invitrogen™ PA5104405
This item is not returnable.
View return policy
Description
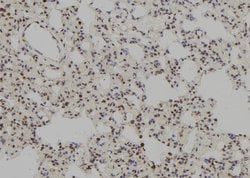
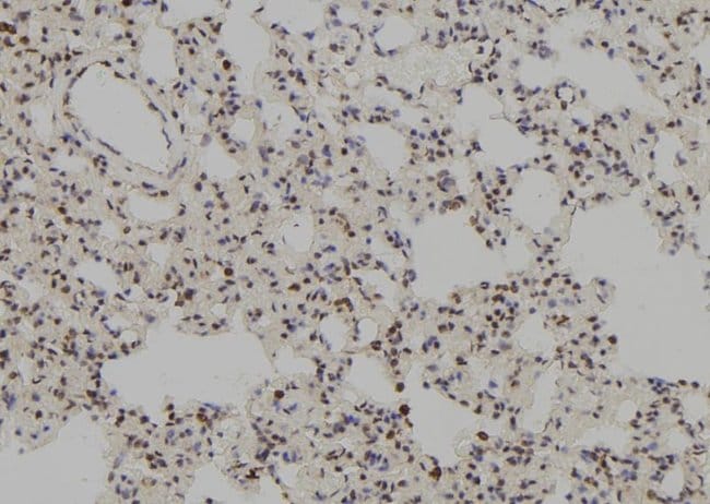
Antibody detects endogenous levels of total MSH3.
Component of the post-replicative DNA mismatch repair system (MMR). Heterodimerizes with MSH2 to form MutS beta which binds to DNA mismatches thereby initiating DNA repair. When bound, the MutS beta heterodimer bends the DNA helix and shields approximately 20 base pairs. MutS beta recognizes large insertion-deletion loops (IDL) up to 13 nucleotides long. After mismatch binding, forms a ternary complex with the MutL alpha heterodimer, which is thought to be responsible for directing the downstream MMR events, including strand discrimination, excision, and resynthesis.
Specifications
| MSH3 | |
| Polyclonal | |
| Unconjugated | |
| MSH3 | |
| D13Em1; Divergent upstream protein; DNA mismatch repair protein Msh3; DUC1; DUG; DUP; hMSH3; Mismatch repair protein 1; MRP1; MSH3; mutS homolog 3; mutS homolog 3 (E. coli); protein repair-1; Protein repair-3; REP-1; Rep3; Rep-3 | |
| Rabbit | |
| Affinity Chromatography | |
| RUO | |
| 4437, 499505 | |
| -20°C | |
| Liquid |
| Immunohistochemistry (Paraffin), Western Blot, Immunocytochemistry | |
| 1 mg/mL | |
| PBS with 50% glycerol and 0.02% sodium azide; pH 7.4 | |
| P20585 | |
| MSH3 | |
| A synthesized peptide derived from human MSH3(Accession P20585), corresponding to amino acid residues G110-F160. | |
| 100 μL | |
| Primary | |
| Human, Rat | |
| Antibody | |
| IgG |
Product Content Correction
Your input is important to us. Please complete this form to provide feedback related to the content on this product.
Product Title
Spot an opportunity for improvement?Share a Content Correction