missing translation for 'onlineSavingsMsg'
Learn More

STK16 Antibody (M2), Novus Biologicals™

Product Code. 18331889 Shop All Bio Techne Products
Change view
Click to view available options
Quantity:
0.1 mg
Unit Size:
0.01mg
1 product options available for selection
Product selection table with 1 available options. Use arrow keys to navigate and Enter or Space to select.
Product Code. Quantity unitSize
18331889 0.1 mg 0.01mg
Use arrow keys to navigate between rows. Press Enter or Space to select a product option. 1 options available.
1 options
This item is not returnable. View return policy
Product Code. 18331889 Supplier Novus Biologicals Supplier No. H00008576M02

Please to purchase this item. Need a web account? Register with us today!

This item is not returnable. View return policy

Mouse Monoclonal Antibody

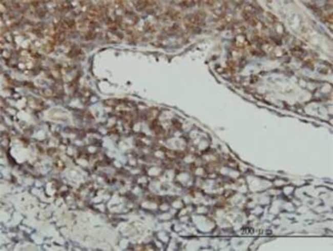
STK16 Monoclonal antibody specifically detects STK16 in Human samples. It is validated for Western Blot, ELISA, Immunohistochemistry, Immunohistochemistry (Paraffin), KnockDown
TRUSTED_SUSTAINABILITY

Specifications

Antigen STK16
Applications Western Blot, ELISA, Immunohistochemistry, Immunohistochemistry (Paraffin), KnockDown
Classification Monoclonal
Clone M2
Conjugate Unconjugated
Formulation In 1x PBS, pH 7.4
Gene Accession No. AAH02618
Gene Alias EC 2.7.11.1, FLJ39635, hPSK, MGC16211, MPSK1, MPSKFLJ39635, Myristoylated and palmitoylated serine/threonine-protein kinase, PKL12KRCT, protein kinase expressed in day 12 fetal liver, Protein kinase PKL12, serine/threonine kinase 16, serine/threonine-protein kinase 16, TGF-beta-stimulated factor 1, TSF1, TSF-1
Host Species Mouse
Immunogen STK16 (AAH02618, 1 a.a. ~ 305 a.a) full-length recombinant protein with GST tag. MW of the GST tag alone is 26 KDa. MGHALCVCSRGTVIIDNKRYLFIQKLGEGGFSYVDLVEGLHDGHFYALKRILCHEQQDREEAQREADMHRLFNHPNILRLVAYCLRERGAKHEAWLLLPFFKRGTLWNEIERLKDKGNFLTEDQILWLLLGICRGLEAIHAKGYAHRDLKPTNILLGDEGQPVLMDLGSMNQACIHVEGSRQALTLQDWAAQRCTISYRAPELFSVQSHCVIDERTDVWSLGCVLYAMMFGEGPYDMVFQKGDSVALAVQNQLSIPQSPRHSSALWQLLNSMMTVDPHQRPHIPLLLSQLEALQPPAPGQHTTQI
Purification Method IgG purified
Quantity 0.1 mg
Regulatory Status RUO
Research Discipline Signal Transduction
Primary or Secondary Primary
Gene ID (Entrez) 8576
Target Species Human
Content And Storage Aliquot and store at -20°C or -80°C. Avoid freeze-thaw cycles.
Form Purified
Isotype IgG1 κ
Show More Show Less
Product Title
Select an issue

By clicking Submit, you acknowledge that you may be contacted by Fisher Scientific in regards to the feedback you have provided in this form. We will not share your information for any other purposes. All contact information provided shall also be maintained in accordance with our Privacy Policy.