missing translation for 'onlineSavingsMsg'
Learn More
Learn More
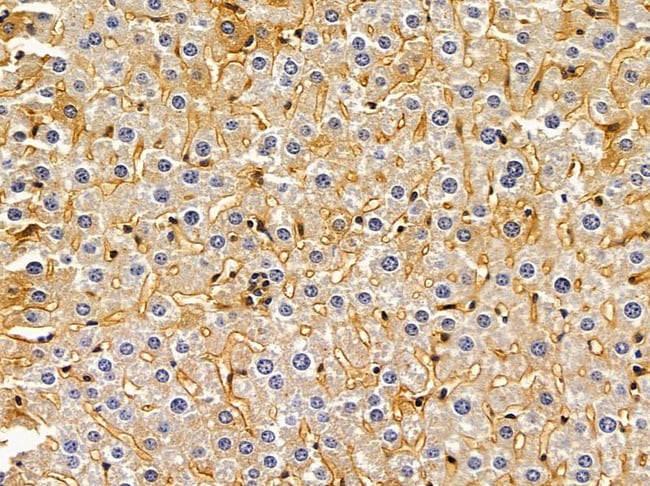
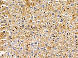
STEAP3 Polyclonal Antibody

STEAP3 Polyclonal Antibody
Brand: Thermo Scientific PA5115969
This item is not returnable.
View return policy
Description
STEAP3 Polyclonal Antibody for Western Blot, ICC/IF
Specifications
| STEAP3 | |
| Polyclonal | |
| Unconjugated | |
| STEAP3 | |
| 1010001D01Rik; AHMIO2; dudlin 2; dudlin-2; dudulin 2; dudulin-2; hpHyde; hTSAP6; Metalloreductase STEAP3; pHyde; Protein nm1054; six-transmembrane epithelial antigen of prostate 3; STEAP family member 3; STEAP family member 3, metalloreductase; STEAP3; STEAP3 metalloreductase; STMP3; TSAP6; tumor suppressor pHyde; tumor suppressor-activated pathway protein 6 | |
| Rabbit | |
| Affinity Chromatography | |
| RUO | |
| 170824, 55240, 68428 | |
| -20°C | |
| Liquid |
| Immunohistochemistry (Paraffin), Western Blot, Immunocytochemistry | |
| 1 mg/mL | |
| PBS with 50% glycerol and 0.02% sodium azide | |
| Q5RKL5, Q658P3, Q8CI59 | |
| STEAP3 | |
| A synthesized peptide derived from human STEAP3(Accession Q658P3), corresponding to amino acid residues D16-R66. | |
| 100 μL | |
| Primary | |
| Human, Mouse, Rat | |
| Antibody | |
| IgG |
Product Content Correction
Your input is important to us. Please complete this form to provide feedback related to the content on this product.
Product Title
Spot an opportunity for improvement?Share a Content Correction