missing translation for 'onlineSavingsMsg'
Learn More
Learn More
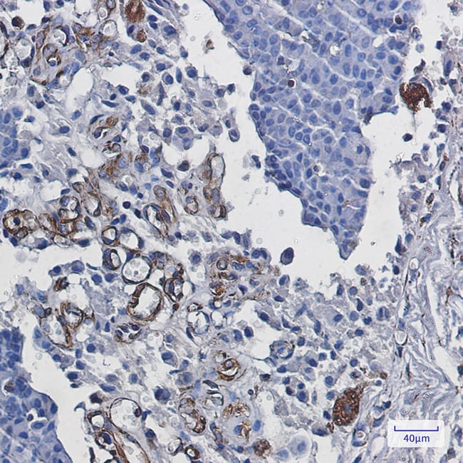
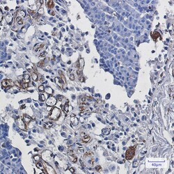
Invitrogen™ Staufen Recombinant Rabbit Monoclonal Antibody (K01_3L68)

Description
Immunogen sequence: DQQSTEMPRT GNGP.
STAU1 is a member of a family of double-stranded RNA (dsRNA)-binding proteins involved in the transport and/or localization of mRNAs to different subcellular compartments and/or organelles. These proteins are characterized by the presence of multiple dsRNA-binding domains which are required to bind RNAs having double-stranded secondary structures. The human STAU1 also contains a microtubule- binding domain similar to that of microtubule-associated protein 1B, and binds tubulin. STAU1 has been shown to be present in the cytoplasm in association with the rough endoplasmic reticulum (RER), implicating this protein in the transport of mRNA via the microtubule network to the RER. STAU1 is also known to interact with influenza ribonucleoproteins NS1, NP, and PA and is required for efficient viral replication.
Specifications
Specifications
| Antigen | Staufen |
| Applications | Immunohistochemistry (Paraffin), Western Blot |
| Classification | Recombinant Monoclonal |
| Clone | K01_3L68 |
| Concentration | 1 mg/mL |
| Conjugate | Unconjugated |
| Formulation | 50mM tris glycine with 150mM NaCl, 0.05% BSA, 40% glycerol and 0.01% sodium azide; pH 7.4 |
| Gene | Stau1 |
| Gene Accession No. | O95793, Q9Z108 |
| Gene Alias | 5830401L18Rik; AW549911; C85792; Double-stranded RNA-binding protein Staufen homolog 1; PPP1R150; protein phosphatase 1, regulatory subunit 150; RP3-470L14.2; STAU; Stau1; staufen (RNA binding protein) homolog 1 (Drosophila); staufen double-stranded RNA binding protein 1; staufen RNA binding protein homolog 1; staufen, RNA binding protein, homolog 1 |
| Show More |
Product Title
By clicking Submit, you acknowledge that you may be contacted by Fisher Scientific in regards to the feedback you have provided in this form. We will not share your information for any other purposes. All contact information provided shall also be maintained in accordance with our Privacy Policy.
Spot an opportunity for improvement?