missing translation for 'onlineSavingsMsg'
Learn More

Invitrogen™ STAT2 Recombinant Superclonal™ Antibody (1HCLC)

Product Code. 15377204
Change view
Click to view available options
Quantity:
100 μg
Unit Size:
100µg
1 product options available for selection
Product selection table with 1 available options. Use arrow keys to navigate and Enter or Space to select.
Product Code. Quantity unitSize
15377204 100 μg 100µg
Use arrow keys to navigate between rows. Press Enter or Space to select a product option. 1 options available.
1 options
This item is not returnable. View return policy
Product Code. 15377204 Supplier Invitrogen™ Supplier No. 710135

Please to purchase this item. Need a web account? Register with us today!

This item is not returnable. View return policy

Rabbit Recombinant Superclonal Antibody

Recombinant rabbit Superclonal™ antibodies are unique offerings from Thermo Fisher Scientific. They are comprised of a selection of multiple different recombinant monoclonal antibodies, providing the best of both worlds - the sensitivity of polyclonal antibodies with the specificity of monoclonal antibodies - all delivered with the consistency only found in a recombinant antibody. While functionally the same as a polyclonal antibody - recognizing multiple epitope sites on the target and producing higher detection sensitivity for low abundance targets - a recombinant rabbit Superclonal™ antibody has a known mixture of light and heavy chains. The exact population can be produced in every lot, circumventing the biological variability typically associated with polyclonal antibody production. Note: Formerly called 'Recombinant polyclonal antibody', this product is now rebranded as 'Recombinant Superclonal™ antibody'. The physical product and the performance remain unchanged.

STAT2 is a member of the STAT protein family. In response to cytokines and growth factors, STAT family members are phosphorylated by the receptor associated kinases, and then form homo- or heterodimers that translocate to the cell nucleus where they act as transcription activators. In response to interferon (IFN), this protein forms a complex with STAT1 and IFN regulatory factor family protein p48 (ISGF3G), in which this protein acts as a transactivator, but lacks the ability to bind DNA directly. Transcription adaptor P300/CBP (EP300/CREBBP) has been shown to interact specifically with this protein, which is thought to be involved in the process of blocking IFN-alpha response by adenovirus.
TRUSTED_SUSTAINABILITY

Specifications

Antigen STAT2
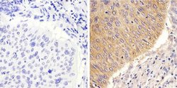
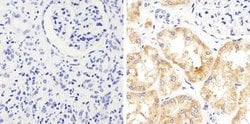
Applications ChIP Assay, Immunohistochemistry (Paraffin), Western Blot, Immunocytochemistry
Classification Recombinant Superclonal
Clone 1HCLC
Concentration 0.5 mg/mL
Conjugate Unconjugated
Formulation PBS with 0.09% sodium azide
Gene Stat2
Gene Accession No. P52630
Gene Alias 1110034C02Rik; 1600010G07Rik; acute phase response factor; acute-phase response factor; ADMIO; ADMIO1; Aprf; AW109958; AW496480; DNA-binding protein APRF; EGK_03803; HIES; IMD44; interferon alpha induced transcriptional activator; ISGF-3; MGC59816; p113; signal transducer and activator of transcription 2; signal transducer and activator of transcription 2, 113kDa; signal transducer and activator of transcription 3; signal transducer and activator of transcription 3 (acute-phase response factor); STAT; STAT 2; STAT113; STAT2; STAT-2; Stat3
Gene Symbols Stat2
Host Species Rabbit
Immunogen Peptide corresponding to amino acids 186-197 of human STAT2.
Purification Method Protein A
Quantity 100 μg
Regulatory Status RUO
Primary or Secondary Primary
Gene ID (Entrez) 6773
Target Species Human
Content And Storage Store at 4°C short term. For long term storage, store at -20°C, avoiding freeze/thaw cycles.
Product Type Antibody
Form Liquid
Isotype IgG
Show More Show Less
Product Title
Select an issue

By clicking Submit, you acknowledge that you may be contacted by Fisher Scientific in regards to the feedback you have provided in this form. We will not share your information for any other purposes. All contact information provided shall also be maintained in accordance with our Privacy Policy.