missing translation for 'onlineSavingsMsg'
Learn More
Learn More
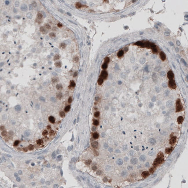
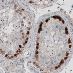
Invitrogen™ SSX2 Monoclonal Antibody (CL3202)

Mouse Monoclonal Antibody
Brand: Invitrogen™ MA524652
This item is not returnable.
View return policy
Description
Immunogen sequence: GKHAWTHRLR ERKQLVIYEE ISDPEEDDE Highest antigen sequence identity to the following orthologs: Mouse - 66%, Rat - 79%. Binds to an epitope located within the peptide sequence GKHAWTHRLRERKQL as determined by overlapping synthetic peptides.
SSX2 belongs to the family of highly homologous synovial sarcoma X (SSX) breakpoint proteins. These proteins may function as transcriptional repressors. They are also capable of eliciting spontaneously humoral and cellular immune responses in cancer patients, and are potentially useful targets in cancer vaccine-based immunotherapy. SSX1, SSX2 and SSX4 genes have been involved in the t(X;18) translocation characteristically found in all synovial sarcomas. This translocation results in the fusion of the synovial sarcoma translocation gene on chromosome 18 to one of the SSX genes on chromosome X. The encoded hybrid proteins are probably responsible for transforming activity. Two transcript variants encoding distinct isoforms have been identified for this gene.
Specifications
| SSX2 | |
| Monoclonal | |
| 1 mg/mL | |
| PBS with 40% glycerol and 0.02% sodium azide; pH 7.2 | |
| Q16385 | |
| Ssx2 | |
| Recombinant protein corresponding to Human SSX2. | |
| 100 μL | |
| Primary | |
| Human | |
| Antibody | |
| IgG1 |
| Immunohistochemistry (Paraffin) | |
| CL3202 | |
| Unconjugated | |
| Ssx2 | |
| cancer/testis antigen 5.2; cancer/testis antigen family 5, member 2a; CT5.2; CT5.2A; CT52; HD21; HOM-MEL-40; LOC103690782; MGC119055; MGC15364; MGC3884; Protein SSX2; putative protein SSX10; sarcoma, synovial, X-chromosome-related 2; SSX; SSX family member 2; SSX2; SSX2A; SSX2B; Synovial sarcoma, X breakpoint 2; synovial sarcoma, X breakpoint 2B; tumor antigen HOM-MEL-40 | |
| Mouse | |
| Protein A | |
| RUO | |
| 6757 | |
| Store at 4°C short term. For long term storage, store at -20°C, avoiding freeze/thaw cycles. | |
| Liquid |
Product Content Correction
Your input is important to us. Please complete this form to provide feedback related to the content on this product.
Product Title
Spot an opportunity for improvement?Share a Content Correction