missing translation for 'onlineSavingsMsg'
Learn More

Invitrogen™ SSTR3 Recombinant Rabbit Monoclonal Antibody (HL2681)
GREENER_CHOICE

Rabbit Recombinant Monoclonal Antibody

Brand:  Invitrogen™ MA556880

Product Code. 30275036

  • £434.00 / 100µL

Please to purchase this item. Need a web account? Register with us today!

This item is not returnable. View return policy

Description

Description

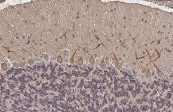
SSTR3 Recombinant Monoclonal Antibody for Western Blot, IHC (P)

Expression of Somatostatin Receptor Type 3 (SSTR3) has been reported in brain, breast, eye, gastrointestinal tract, pancreas, and thyroid. G-protein Coupled Receptors (GPCRs) comprise one of the largest families of signaling molecules with more than a thousand members currently predicted to exist. All GPCRs share a structural motif consisting of seven membrane-spanning helices, and exist in both active and inactive forms. An array of activating ligands participate in the conformation of GPCRs which leads to signaling via G-proteins and downstream effectors. Ongoing studies have also shown the vast series of reactions which participate in the negative regulation of GPCRs. This turn-off activity has tremendous implications for the physiological action of the cell, and continues to drive pharmacological research for new drug candidates. Two blockbuster drugs which have been developed as GPCR-targeted pharmaceuticals are Zyprexa (Eli Lilly) and Claritin (Schering-Plough) which have multi-billion dollar shares of the mental health and allergy markets, respectively.
TRUSTED_SUSTAINABILITY
Specifications

Specifications

SSTR3
Recombinant Monoclonal
1 mg/mL
PBS with no preservative
P30935, P32745
Sstr3
Synthetic peptide encompassing a sequence within the Intracellular domain of human Somatostatin receptor 3. The exact sequence is proprietary.
100 μL
Primary
Human, Mouse
Antibody
IgG
Immunohistochemistry (Paraffin), Western Blot
HL2681
Unconjugated
Sstr3
Smstr28; Smstr3; Smstr-3; somatostatin receptor; somatostatin receptor 28; somatostatin receptor 3; somatostatin receptor subtype 3; somatostatin receptor type 3; SS3R; SS-3-R; SS3-R; SSR-28; sst3; SSTR; SSTR3
Rabbit
Protein A
RUO
20607, 6753
-20°C, Avoid Freeze/Thaw Cycles
Liquid
Product Suggestions

Product Suggestions

Videos
SDS
Documents

Documents

Certificates
Promotions

Promotions

Product Content Correction

Your input is important to us. Please complete this form to provide feedback related to the content on this product.

Product Title

By clicking Submit, you acknowledge that you may be contacted by Fisher Scientific in regards to the feedback you have provided in this form. We will not share your information for any other purposes. All contact information provided shall also be maintained in accordance with our Privacy Policy.

Thank You! Your feedback has been submitted. Fisher Scientific is always working to improve our content for you. We appreciate your feedback.