missing translation for 'onlineSavingsMsg'
Learn More

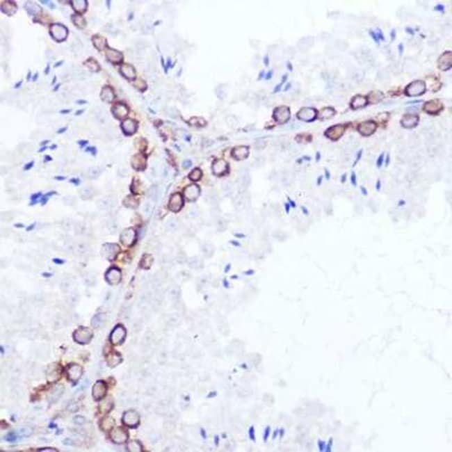
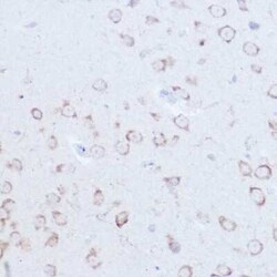
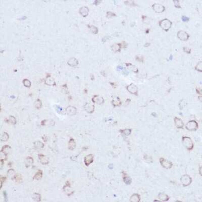
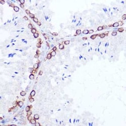
SSR2 Rabbit anti-Human, Mouse, Rat, Polyclonal, Novus Biologicals™

Product Code. 18373174 Shop All Bio Techne Products
Change view
Click to view available options
Quantity:
100 μg
20 μg
Unit Size:
100µL
20µL
2 product options available for selection
Product selection table with 2 available options. Use arrow keys to navigate and Enter or Space to select.
Product Code. Quantity unitSize
18373174 20 μg 20µL
18384586 100 μg 100µL
Use arrow keys to navigate between rows. Press Enter or Space to select a product option. 2 options available.
2 options
This item is not returnable. View return policy
Product Code. 18373174 Supplier Novus Biologicals Supplier No. NBP31601820UL

Please to purchase this item. Need a web account? Register with us today!

This item is not returnable. View return policy

Rabbit Polyclonal Antibody

SSR2 Polyclonal antibody specifically detects SSR2 in Human, Mouse, Rat samples. It is validated for Western Blot, Immunohistochemistry, Immunofluorescence, Immunohistochemistry (Paraffin)
TRUSTED_SUSTAINABILITY

Specifications

Antigen SSR2
Applications Western Blot, Immunohistochemistry, Immunofluorescence, Immunohistochemistry (Paraffin)
Classification Polyclonal
Conjugate Unconjugated
Dilution Western Blot 1:500 - 1:2000, Immunohistochemistry 1:50 - 1:200, Immunocytochemistry/Immunofluorescence 1:50 - 1:200, Immunohistochemistry-Paraffin 1:50 - 1:200
Formulation PBS, 50% glycerol, pH7.3
Gene Alias DKFZp686F19123, Signal sequence receptor subunit beta, signal sequence receptor, beta (translocon-associated protein beta), SSR-beta, TLAP, translocon-associated protein beta, translocon-associated protein subunit beta, TRAP-beta, TRAPBTRAP-BETA
Host Species Rabbit
Immunogen Recombinant fusion protein containing a sequence corresponding to amino acids 18-145 of human SSR2 (NP_003136.1). EEGARLLASKSLLNRYAVEGRDLTLQYNIYNVGSSAALDVELSDDSFPPEDFGIVSGMLNVKWDRIAPASNVSHTVVLRPLKAGYFNFTSATITYLAQEDGPVVIGSTSAPGQGGILAQREFDRRFSP
Purification Method Affinity purified
Quantity 20 μg
Regulatory Status RUO
Research Discipline Signal Transduction
Primary or Secondary Primary
Gene ID (Entrez) 6746
Target Species Human, Mouse, Rat
Content And Storage Store at -20°C. Avoid freeze-thaw cycles.
Form Purified
Isotype IgG
Show More Show Less
Product Title
Select an issue

By clicking Submit, you acknowledge that you may be contacted by Fisher Scientific in regards to the feedback you have provided in this form. We will not share your information for any other purposes. All contact information provided shall also be maintained in accordance with our Privacy Policy.