missing translation for 'onlineSavingsMsg'
Learn More

SRGN Antibody, Novus Biologicals™

Product Code. 18430591 Shop All Bio Techne Products
Change view
Click to view available options
Quantity:
0.1 mL
25ul
Unit Size:
0.1mL
25µL
2 product options available for selection
Product selection table with 2 available options. Use arrow keys to navigate and Enter or Space to select.
Product Code. Quantity unitSize
18430591 25ul 25µL
18083614 0.1 mL 0.1mL
Use arrow keys to navigate between rows. Press Enter or Space to select a product option. 2 options available.
2 options
This item is not returnable. View return policy
Product Code. 18430591 Supplier Novus Biologicals Supplier No. NBP18088625ul

Please to purchase this item. Need a web account? Register with us today!

This item is not returnable. View return policy

Rabbit Polyclonal Antibody has been used in 4 publications

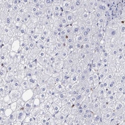
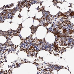
SRGN Polyclonal specifically detects SRGN in Human samples. It is validated for Western Blot, Flow Cytometry, Immunohistochemistry, Immunoprecipitation, Immunohistochemistry-Paraffin.
TRUSTED_SUSTAINABILITY

Specifications

Antigen SRGN
Applications Western Blot, Immunohistochemistry, Immunohistochemistry (Paraffin)
Classification Polyclonal
Conjugate Unconjugated
Dilution Western Blot 0.04 - 0.4 ug/ml, Flow Cytometry, Immunohistochemistry 1:1000 - 1:2500, Immunoprecipitation, Immunohistochemistry-Paraffin 1:1000 - 1:2500
Formulation PBS (pH 7.2) and 40% Glycerol with 0.02% Sodium Azide
Gene Accession No. P10124
Gene Alias FLJ12930, Hematopoetic proteoglycan core protein, MGC9289, P.PG, Platelet proteoglycan core protein, platelet proteoglycan protein core, PPG, PRG1p.PG, PRGhematopoetic proteoglycan core peptide, proteoglycan 1, secretory granule, proteoglycan protein core for mast cell secretory granule, secretory granule proteoglycan 1, secretory granule proteoglycan core peptide, Secretory granule proteoglycan core protein, serglycin, serglycin proteoglycan
Gene Symbols SRGN
Host Species Rabbit
Immunogen This antibody was developed against Recombinant Protein corresponding to amino acids:MQKLLKCSRLVLALALILVLESSVQGYPTRRARYQWVRCNPDSNSANCLEEKGPMFELLPGESNKIPRLRTDLFPKTRIQDLNRIFPLSEDYSGSGFGSGSGSGSGSGSGFLTEMEQDYQLVDE
Purification Method Affinity Purified
Quantity 25ul
Regulatory Status RUO
Primary or Secondary Primary
Gene ID (Entrez) 5552
Test Specificity Specificity of antibody verified on a Protein Array containing target protein plus 383 other non-specific proteins.
Target Species Human
Content And Storage Store at 4C short term. Aliquot and store at -20C long term. Avoid freeze-thaw cycles.
Isotype IgG
Show More Show Less

For Research Use Only

Product Title
Select an issue

By clicking Submit, you acknowledge that you may be contacted by Fisher Scientific in regards to the feedback you have provided in this form. We will not share your information for any other purposes. All contact information provided shall also be maintained in accordance with our Privacy Policy.