missing translation for 'onlineSavingsMsg'
Learn More
Learn More
Invitrogen™ SQRDL Polyclonal Antibody

Rabbit Polyclonal Antibody
Brand: Invitrogen™ PA553549
This item is not returnable.
View return policy
Description
Immunogen sequence: TSPVADAAGW VDVDKETLQH RRYPNVFGIG DCTNLPTSKT AAAVAAQSGI LDRTISVIMK NQTPTKKYDG YTSCPLVTGY NRVILAEFDY KAEPLETFPF DQSKERLSMY LMKADLMPFL YWNMMLRGYW G Highest antigen sequence identity to the following orthologs: Mouse - 89%, Rat - 93%.
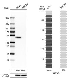
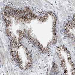
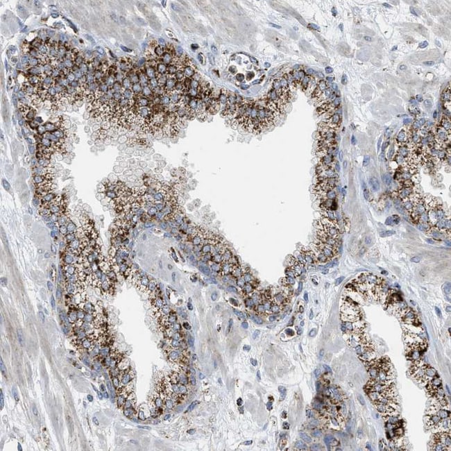
SQRDL (Sulfide: quinone oxidoreductase, mitochondrial) catalyzes the oxidation of hydrogen sulfide, with the help of a quinone. Although the SQRDL precursor protein displays a molecular weight of 50 kDa, a prominent band at about 46 kDa is detected by western blot. This discrepancy reflects the cleavage of an N-terminal targeting sequence of 4 kDa during the import of the protein into the mitochondria. SQRDL is one of the enzymes involved in H2S signaling in a discrete population of neurons, oligodendrocytes, and endothelial cells.
Specifications
| SQRDL | |
| Polyclonal | |
| Unconjugated | |
| Sqor | |
| 0610039J17Rik; 4930557M22Rik; Cc2-17; CGI-44; flavo-binding protein; PRO1975; SQOR; Sqrdl; sulfide dehydrogenase like; Sulfide dehydrogenase-like; Sulfide quinone oxidoreductase; sulfide quinone reductase-like (yeast); sulfide:quinone oxidoreductase, mitochondrial | |
| Rabbit | |
| Antigen affinity chromatography | |
| RUO | |
| 58472, 59010 | |
| Store at 4°C short term. For long term storage, store at -20°C, avoiding freeze/thaw cycles. | |
| Liquid |
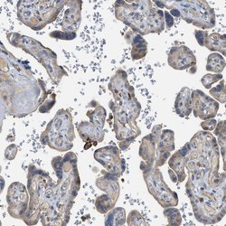
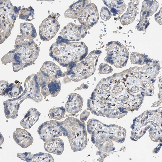
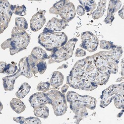
| Immunohistochemistry (Paraffin), Western Blot, Immunocytochemistry | |
| 0.30 mg/mL | |
| PBS with 40% glycerol and 0.02% sodium azide; pH 7.2 | |
| Q9R112, Q9Y6N5 | |
| Sqor | |
| Recombinant protein corresponding to Human SQRDL. Recombinant protein control fragment (Product #RP-89842). | |
| 100 μL | |
| Primary | |
| Human, Mouse | |
| Antibody | |
| IgG |
Product Content Correction
Your input is important to us. Please complete this form to provide feedback related to the content on this product.
Product Title
Spot an opportunity for improvement?Share a Content Correction